아핫뉴스실시간 인기검색어
아핫뉴스 화산 이미지
화산 아이콘 11
이제훈 걸그룹 변신
많이 본
아하

의료상담

치과

고독한여우22
고독한여우22

16번 어금니 신경치료, 발치 후 사랑니 교정 가능할까요?

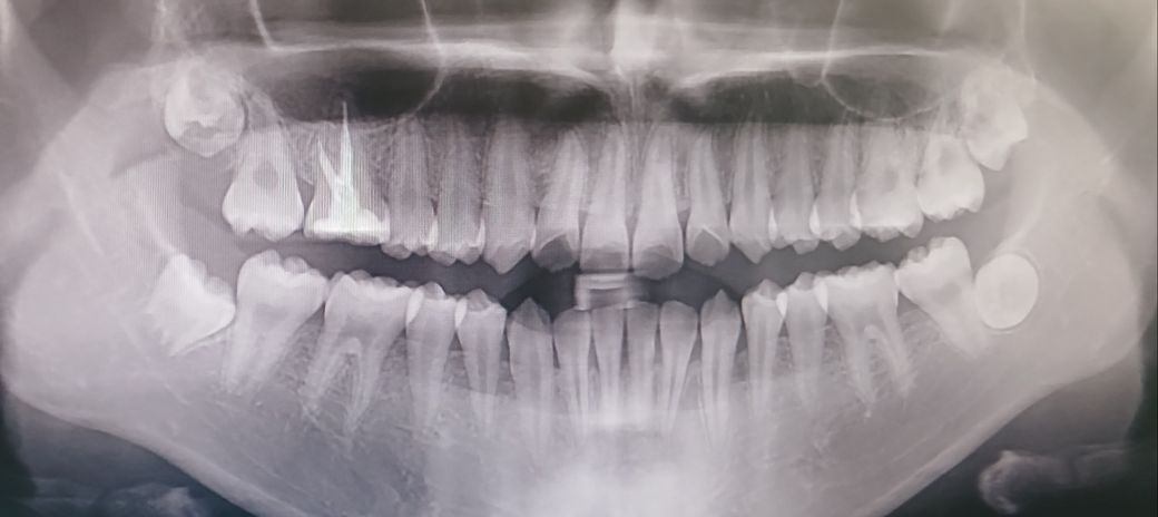
제가 16번 어금니 충치때매 신경치료를 하고 크라운을 씌운 상태입니다. 그치만 언제까지고 크라운을 계속 사용할 수 없는 노릇이고, 제가 사랑니가 있는 것 같아서 만약에 몇 년 뒤 발치 후에 사랑니 교정? 이런 걸 통해 빈 곳을 매꿔서 자연 치아로 사용할 슈 있을까요? 엑스레이 찍은 거 보면 사랑니가 있는 것 같은데..... 참고로 현재 19살입니다

  • 1번 째 사진
4개의 답변이 있어요!
  • 신경치료를 하고 나서도 이상이 없다면 계속 사용해도 됩니다. 특별히 문제가 없다면 지금 상태에서 유지하시면 됩니다. 사랑니를 이용하여 어금니를 대체하는 것은 학문적인 관점에서 시행하고 있으나 보편적으로 행해지는 술식도 아니며 예외적인 몇 몇 케이스에서만 가능하므로 현재 말씀하신 부분이 가능한지는 치과 방문 후 검사를 해보아야 합니다.

    아무쪼록 저의 답변이 문제 해결에 작게 나마 도움이 될 수 있기를 기원드립니다. 항상 건강하고, 행복하세요^^

    정진석 치과의사 드림

  • 안녕하세요 치과의사 김철진입니다. 신경치료가 잘되고 크라운 치료를 하면 큰 문제가 없을것같습니다. 사랑니를 교정적으로 당겨서 사용할 필요성까지는 없을것같습니다.

  • 신경 치료를 한 치아가 이상이 없다면 크라운을 치료를 해서 잘 사용할 수 있습니다 교정을 통해서 사랑니를 해당 부위로 이동시키는 것보다 보철 치료를 하는 것이 더 현실적이고 예후가 좋아 보입니다 자세한 확인을 위해서 치과에서 진료를 받아 보는 것을 권유 드립니다

    1. 신경치료 후 크라운을 씌웠다면 크라운은 보통 5~10년 정도 사용하며 관리만 잘 된다면 좀 더 오래 쓸 수도 있습니다.

    2. 나중에 해당 치아를 뽑아야 할 때 사랑니가 이를 대체하는 경우는 자기치아이식술에 해당되는데 사랑니가 멀쩡한 상태여야 하고, 수월하게 뺄 수 있어야 시도해볼 수 있는 등 조건이 다소 까다롭긴 합니다.

    3. 일단은 지금으로서는 그런 거에 대한 고민보다는 크라운 씌운 치아에 대해 잘 관리해주는 것이 우선입니다.