아핫뉴스실시간 인기검색어
아핫뉴스 화산 이미지
아하

반려동물

반려동물 건강

배부른물소234
배부른물소234

병원에서 복막염의심80% 이라고 합니다

반려동물 종류
고양이
품종
스코티시폴드
성별
수컷
나이 (개월)
11개월
몸무게 (kg)
4.1
중성화 수술
1회


그저께 열이 40.3도 올랐고

하루입원해서 열은 그대로 였습니다

습식은 아주 조금먹고 물만 마시고 츄르는 잘먹어요

식욕부진, 무기력 합니다 무게는 4.4에서 4kg 빠지다가 지금 4.1입니다

설사,구토는 한번도 안하고 오히려 소변만 보고 대변을 안보고 있습니다 그래서 저는 장폐색 같은거 조금 의심이 생겨서 가능성은 있나요? 초음파검사로 하면 알 수 있나요?

혹시 다른 병이면 어떤 병 일 수 있나요?





3개의 답변이 있어요!
  • 안녕하세요. 박주찬 수의사입니다.

    3살 미만에 소화기 증상 그리고 혈액검사상 글로블린이 높은 경우 고양이 전염성 복막염을 생각해볼 수 있습니다.

    보통 초음파까지 확인을 해봐야 알겠지만, 복수가 있으면서 복수가 짚처럼 반투명하게 노란 복수양상은 거의 고양이 전염성 복막염입니다.

    그 외 눈에 심한 포도막염이 있는 경우 또한 전염성 복막염으로 진단할 수 있으니 수의사 선생님과 상담 잘 해보시기 바랍니다.

  • 안녕하세요. 이광섭 수의사입니다.

    급성 염증 수치는 높고 고열이 발생한 것으로 보아 감염으로 인한 질병으로 보여집니다. 초음파로 복수 확인할 수 있고, 복막염 확진을 위해서는 키트 검사나 PCR 검사를 의뢰해보시는 것이 좋겠습니다. 혈액검사 수치만으로는 알 수 없습니다.

  • 안녕하세요. 이은수 수의사입니다.

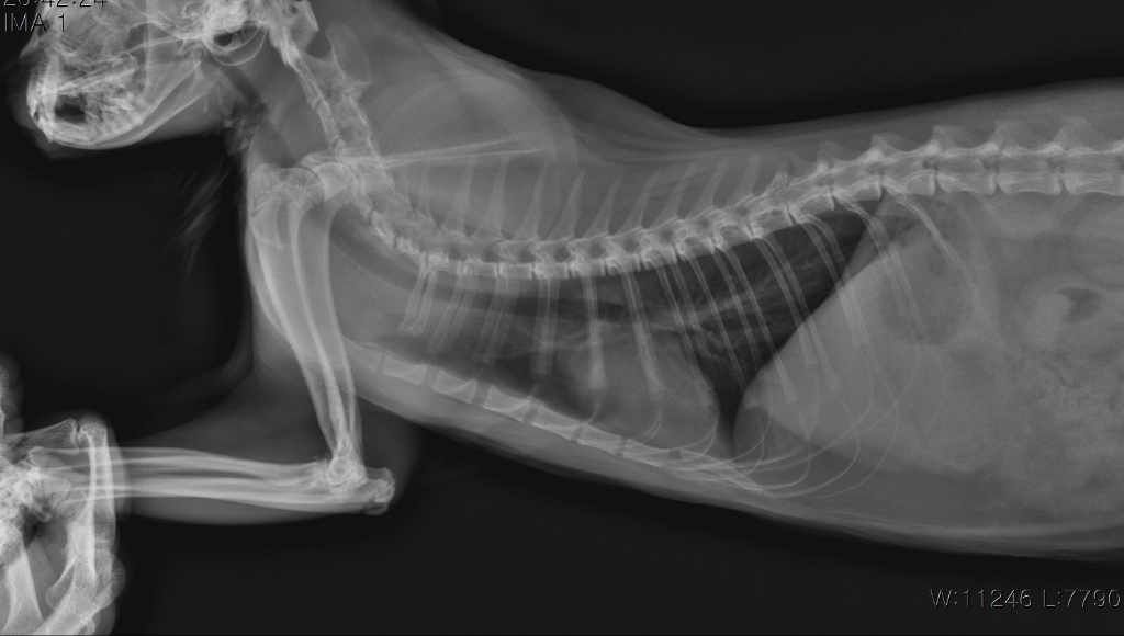
    "설사,구토는 한번도 안하고 오히려 소변만 보고 대변을 안보고 있"는것은 장폐색의 주 증상과 정 반대라고 볼 수 있습니다. 장폐색이 있으면 주로 폭발적 구토가 유발되기 때문이지요. 의심이 된다면 복부 초음파 검사를 통한 확인이 가능한 상태이니 복부 초음파 검사를 받아 보시기 바랍니다.

    혈액검사 결과와 방사선 검사상 위장관의 대비도 감소 등을 볼때 심각한 수준의 장염이 또다른 원인이 될 수는 있으나 복막염 가능성이 매우 높으니 주치의와 상의하에 복막염 확진 검사를 진행하시는걸 추천합니다.