아핫뉴스실시간 인기검색어
아핫뉴스 화산 이미지
화산 아이콘 11
윤석화 노제 대학로 마지막 배웅
아하

의료상담

치과

빠른진도개39
빠른진도개39

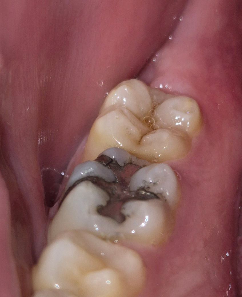
치아통증 충치때문일까요 때운게 깨져서그런걸까요

찬걸 먹거나 뭘섭취할때 시린통증이있어서 사진을찍어보니 충치가생긴거같기도하고 때운게 깨진거같기도하더라구요 이사진으로 충치를 알수있을까요?

  • 1번 째 사진
6개의 답변이 있어요!
  • 안녕하세요. 김지훈 치과의사입니다.

    사진상에 명확히 충치로 보이는 것은 보이지 않습니다. 사진으로는 워낙 불명확하니 치과 한번가보시는 게 좋겠습니다.

  • 안녕하세요. 송우식 치과의사입니다.

    해당 사진에서 충치가 발생이 의심되는 부분이 있습니다. 빠른시일내에 치과에 방문하여 상태를 확인하고 치료를 받길 권합니다.

    궁금증 해소에 도움이 제 답변이 도움이 되셨길 바라며, '👍' 눌러주시길 부탁드립니다.

  • 안녕하세요. 안상우 치과의사입니다.

    사진으로는 정확한 충치 여부를 확인하기 힘들어 보입니다. 앞에 있는 아말감은 부분적으로 깨져 있는 듯 보입니다. 치과 수복물이 깨질 정도의 강한 힘이 가해지면 치아에 불편감이 있을 수 있으니 치아에 가해지는 힘을 줄여 보는 것을 권유 드립니다

  • 안녕하세요. 최석민 치과의사입니다.

    첫번째 큰 어금니 떼운게 깨지기도 했고 두번째 큰 어금니 충치도 관찰됩니다 시린증상은 위 2개 상황과 모두 연관된것 같습니다

  • 안녕하세요. 정진석 치과의사입니다.

    현재 사진만으로는 정확히 알 수 없으며 지금 나타나는 증상이 단순히 충치 때문인지 아닌지 판단에도 어려움이 있습니다. 정확한 진단을 위해서는 x-ray 및 다각도적인 평가를 받아보셔야 하며, 지속적으로 불편감이 있다면 다시 한 번 치과 방문 후 검사를 해보시길 바랍니다.

    아무쪼록 저의 답변이 문제 해결에 작게 나마 도움이 될 수 있기를 기원드립니다. 항상 건강하고, 행복하세요^^

  • 안녕하세요. 김철진 치과의사입니다.

    차가운거에 시리시다면 충치가 진행됫을 가능성이 잇으니 치과에 가셔서 엑스레이 사진을 찍어보시는게 좋을것같습니다.