아핫뉴스실시간 인기검색어
아핫뉴스 화산 이미지
화산 아이콘 11
경찰 캄보디아 73명 구속영장
아하

의료상담

치과

화목한가정사
화목한가정사

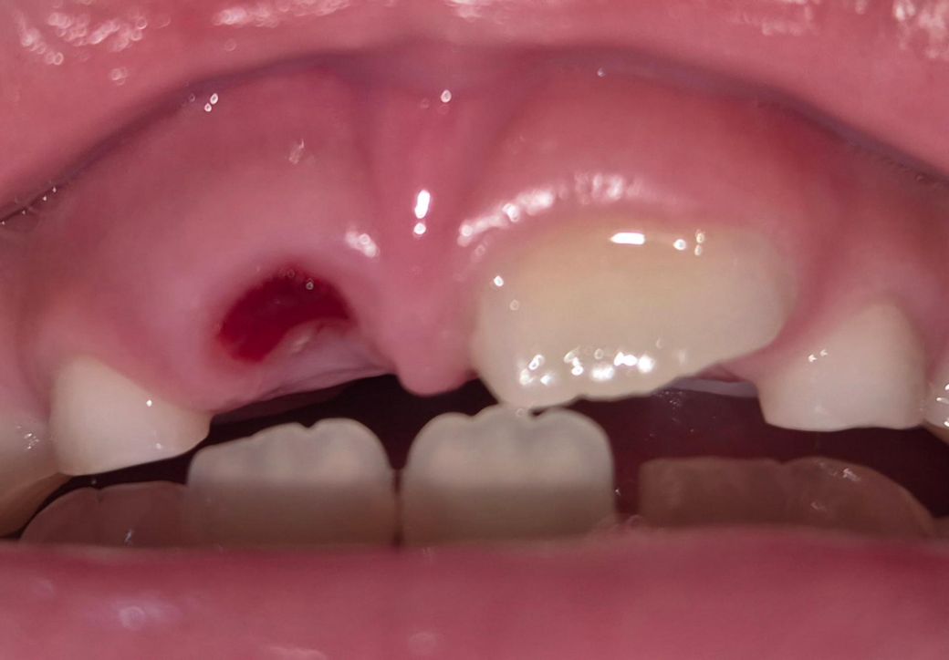
아이가 실로 이빨을 빼달라해서 빼줬는데 잘 빠진걸까요?

8살 딸아이가 원래 병원가서 빼는데 오늘 저보고 빼달라길래 실을 이용해서 빼줬는데 잘빠진걸까요?

1. 유치 빠진후 소염제로 세척후 찬물로 지혈하였고 피는 바로 멈추었어요

2. 혹시 빠진부위에 하얀색은 새이빨이 나오는걸까요? 부러진건 아니겠죠?

감사합니다.

  • 1번 째 사진
3개의 답변이 있어요!
  • 안녕하세요. 김지훈 치과의사입니다.

    잘 빠진 것으로 보이며 지혈도 잘되었다면 특별히 걱정할 건 없겠습니다. 새이빨이 나오는 게 맞습니다.

    1명 평가
  • 안녕하세요. 안상우 치과의사입니다.

    사진으로 봤을 경우 잘 발치된것으로 보입니다.

    하지만 치아를 발치하고 나서 영구치아가 정상적으로 올라오는것을 확인하기 위해서는 치과에서 진료를 받아 보는것이 좋습니다.

    1명 평가
  • 안녕하세요. 김철진 치과의사입니다.

    사진상으로 보면 아이의 유치가 잘 발치가 된거 같습니다. 크게 걱정하실필요는 없을것같습니다.