아핫뉴스실시간 인기검색어
아핫뉴스 화산 이미지
화산 아이콘 11
이해찬 전 총리 별세
많이 본
아하

의료상담

치과

화목한가정사
화목한가정사

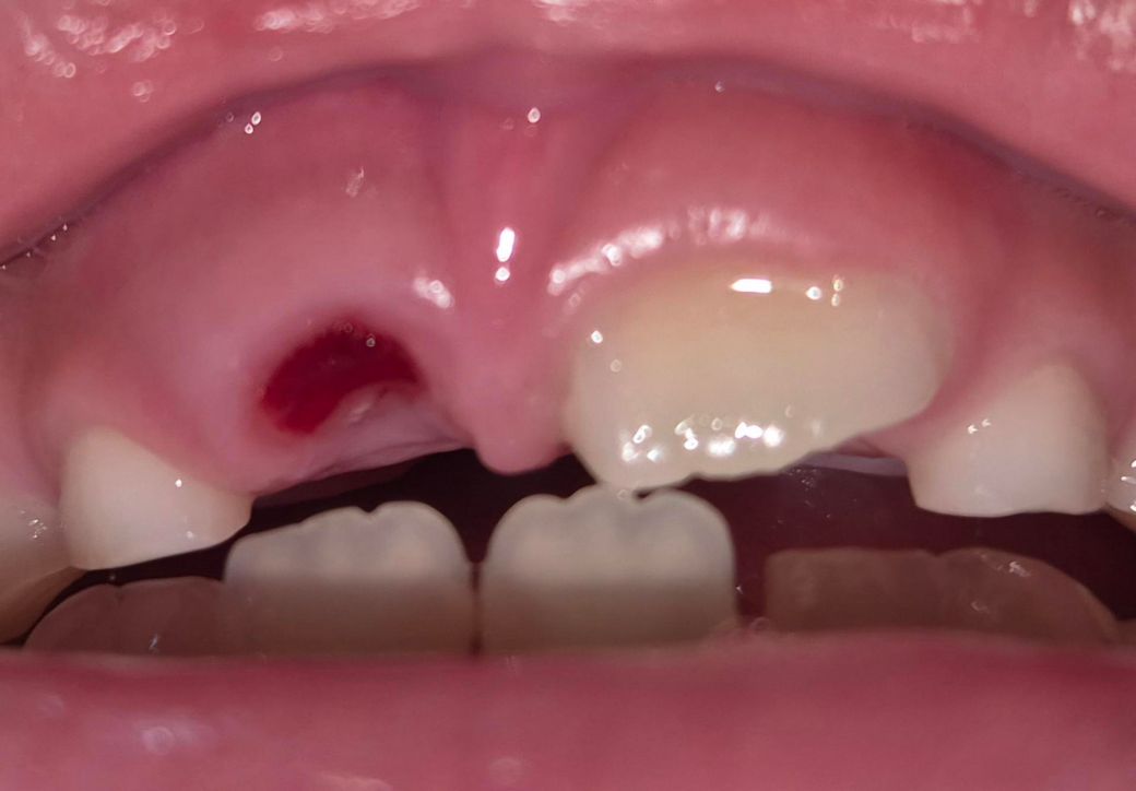
8살 아이 유치 실을 이용해서 뺏는데 잘뺀건가요(사진추가)

질문 중복으로 올려 죄송합니다.

사라졌던 이빨을 찾아서 다시 업로드 해요!

어제 아이 유치를 실을 이용해서 뺏고

지혈도 바로 되었는데 이빨을 찾았는데 정상적으로 뽑힌게 맞나요?

  • 1번 째 사진
  • 2번 째 사진
4개의 답변이 있어요!
  • 안녕하세요. 김지훈 치과의사입니다.

    사진상으로는 문제 없이 잘 빠진 것으로 보이며 지혈 또한 잘 되어 있는 것으로 보여 괜찮아보입니다.

    1명 평가
  • 안녕하세요. 안상우 치과의사입니다.

    사진으로 봤을 경우에는 치아는 잘 나온 것으로 보입니다. 유치가 빠지고 났다면 영구치아가 잘 맹출되고 있는지를 확인하기 위해서 치과에서 진료를 받아보는 것이 좋습니다.

    1명 평가
  • 안녕하세요. 김철진 치과의사입니다.

    사진상으로 보면 아이의 유치가 잘 발치가 된거 같습니다. 크게 걱정은 안하셔도 될것같습니다.

    1명 평가
  • 안녕하세요. 최석민 치과의사입니다.

    보통 유치는 흔들려서 빠졌다면 뿌리가 많이 녹아 짜리몽땅한 형태로 빠져나옵니다 뿌리가 남지 않았을까 크게 걱정하진 않으셔도 됩니다. 혹여 남았더라도 아래 영구치가 밀고 올라올겁니다.

    https://blog.naver.com/murphy1222/223175891807 사진 참고하세요

    1명 평가