아하
  • 토픽

  • 스파링

  • 잉크

  • 미션


의료상담

눈에띄게창조적인카멜레온

눈에띄게창조적인카멜레온

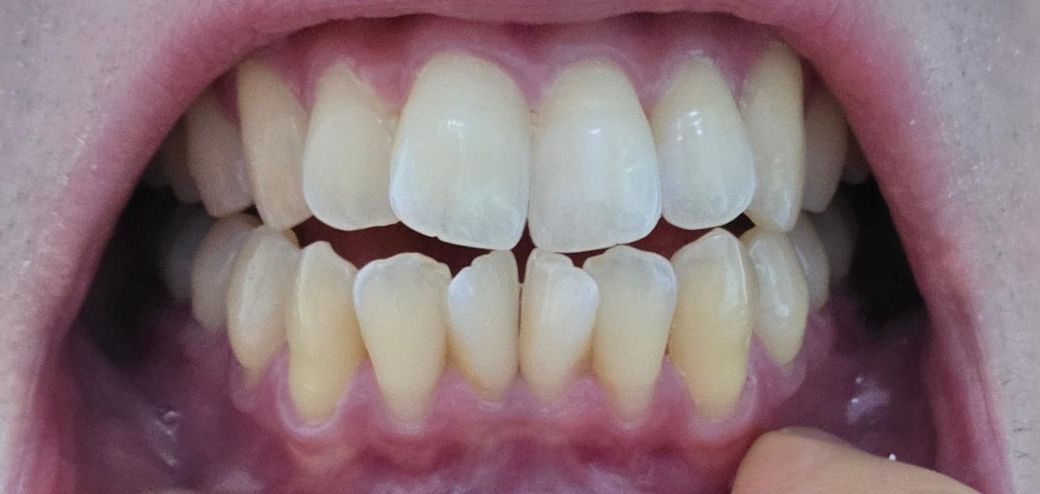
잇몸퇴축 진행 상황과 관련해 질문드립니다

지난주 스케일링을 받

으면서 치의생사 선생님께서 잇몸이 약간 내려가있다고 하셨는데, 퇴축 정도가 심한지 궁금하여 질문드립니다.

  • 1번 째 사진

5개의 답변이 있어요!

  • 안상우 치과의사

    안상우 치과의사

    목동안치과의원

    안녕하세요. 안상우 치과의사입니다.

    사진으로 봤을 경우에는 치은 퇴축이 심한것으로 생각됩니다. 양치질을 할떄 잇몸에 너무 과도한 힘이 가해지게 되면 잇몸이 퇴축될수 있으니 잇몸에 너무 강한 힘이 작용하지 않도록 하는것이 좋습니다.

  • 안녕하세요. 송우식 치과의사입니다.

    아래 송곳니와 앞니쪽에 약간의 잇몸 퇴축이 있습니다. 이정도는 치솔질 꼼꼼히 하고 정기적 스켈링 하면서 계속 관찰만 하면 됩니다.

  • 안녕하세요. 장인아 치과위생사입니다.

    잇몸이 많이 퇴축되어 뿌리가 노출되면 신경손상으로 이어질수 있으니 떼우는 치료가 필요해보입니다. 건강하세요.

  • 안녕하세요. 한성미 치과위생사입니다.

    만약 30대 이상이시면 나쁘지 않은 정도라고 생각합니다. 하지만 사진으로 봤을 때는 치아가 마모된 부분도 보이는데 그것에 대해서도 치과에 문의해보심이 좋을 것 같습니다. 보통 양치질을 좌우로 벅벅 문지르는 방식으로 하시는 분들이 치아마모와 잇몸퇴축이 함께 보이는 경우가 많습니다.

  • 안녕하세요. 최석민 치과의사입니다.

    특히 아래 전치부 중등도의 치은퇴축이 보이는데요 잇몸보다도 잇몸뼈가 녹는 중인지가 중요할 것 같습니다 치과에서 꾸준한 잇몸 관리가 필요합니다