아하
  • 토픽

  • 스파링

  • 잉크

  • 미션


의료상담

말끔한딩고34

말끔한딩고34

대퇴부골절 관련 무릎통증이 있는데, 재활하면 사라질까요?

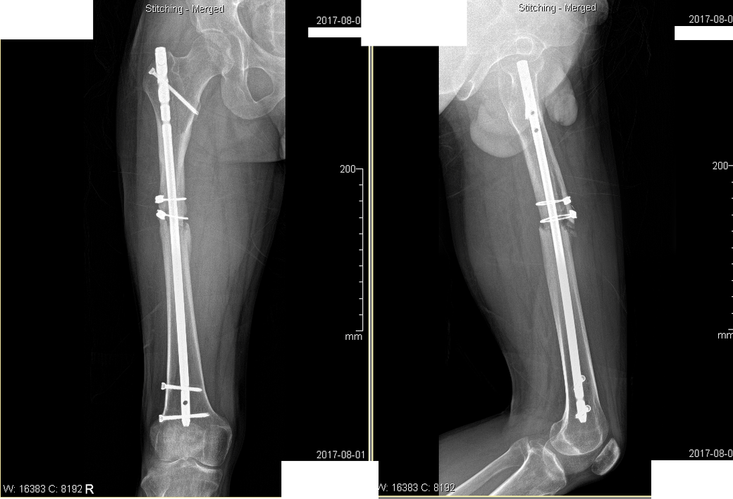
2016년 11월 대퇴부골절

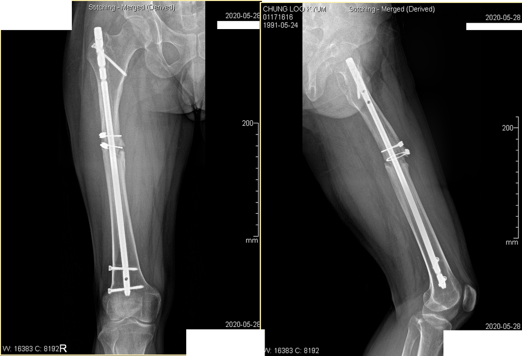
2017년 / 2020 년 사진입니다.

현재 수술/골절부위 통증은 없으며

걸을때 무릎 주변 근육/인대가 쑤시는 듯한 통증이 간헐적으로 있어

소염진통제와 근이완제를 먹고있습니다.

-

5년이 지난 이 시점까지도 아직까지 파행중인데,

재활운동을 따로 하지 않은 제탓도 있겠습니다만..

파행의경우, 엉치근육이 제기능을 못하고 있고,

무릎 통증의 경우 무릎쪽으로 근육부하가 많이 걸려 대퇴사두근 운동을 열심히 하라고 하더군요.

해당 재활 운동중입니다.

개인병원 대부분 재수술을 권유하였는데,

일원동 소재 대형 병원에서는 이정도면 붙은거라 생각하고 운동해도된다고 하였습니다.

1) 현재 상태에서 재활운동을 하면 파행은 고쳐질 수 있을지

2) 위 대퇴부 골절 금속 고정술로 인해 무릎 통증이 발생되는게 맞는지

3) 대퇴사두근 등 다리 재활을 꾸준히 하면 통증이 사라지는지

궁금합니다..

  • 1번 째 사진
  • 2번 째 사진

5개의 답변이 있어요!

  • 최병관 내과 전문의

    최병관 내과 전문의

    Awal Medical Centre, Sarina

    안녕하세요. 최병관 의사입니다.

    1) 현재 상태에서 재활운동을 하면 파행은 고쳐질 수 있을지

    파행은 주로 신경이 압박되거나 혈관상의 문제로 발생하므로 신경학적 검사를 정확히 받아보시는 것이 좋을 것 같습니다.

    2) 위 대퇴부 골절 금속 고정술로 인해 무릎 통증이 발생되는게 맞는지

    무릎 통증이 영향이 있을 수 있겠지만 그 외적인 원인도 충분히 찾아본 후 없을 경우 의심해 볼 수 있겠습니다.

    3) 대퇴사두근 등 다리 재활을 꾸준히 하면 통증이 사라지는지

    근육훈련은로 호소하시는 증상이 사라질 가능성은 높지 않아 보입니다. 일단 재활의확과로 내원하시어 현재 상태를 정확히 파악하고 적절한 처방 및 조언을 듣는 것이 좋겠습니다.

  • 안녕하세요.

    사진으로도 약간은 어긋난 상태로 아문 것이 사실이지만 이미 시간이 5년이

    지난 시점으로 무리하게 재수술을 하는 것 보다는 물리치료와 진통제를 복용

    하는 것이 좋을 것으로 생각됩니다.

    조금씩 뼈 주위의 근육을 강화하기 위해 운동을 하는 것이 필요한데 걷기 부터

    언덕 오르기 등을 통해 근력을 키우고 이후 대퇴골과 무릎 관절 주위 근육을

    키우기 위해 근력 강화 운동을 하는 것을 권장하게 되며 이는 시간이 상당히

    소요되지만 필요할 것으로 보이며 어긋난 뼈로 인해 이차적으로 대퇴골이나

    무릎에 무리가 가는 것을 줄일 수 있을 것으로 보입니다.

  • 안녕하세요. 김경태 의사입니다.

    골유합 상태를 정확히 아는게 중요합니다. 만약 불유합되었다면 느끼는 통증이 불유합 때문일수도 있습니다.

    보통은 해당수술을 하고 일정기간이 지나면 무릎통증은 잘 없습니다.

    다른 원인을 찾아보시는게 좋아보입니다.

  • 안녕하세요 아하(Aha) 의료, 코로나 카테고리에서 활동중인 전문의입니다.

    금속 고정술이 통증의 원인이 되었을 가능성이 높으며 5년이 지난 현 시점에서 재활운동의 효과에 대해서는 극적인 효과를 기대하기 어렵겠습니다.

    참조하시어 도움이 되기를 바랍니다.

     

  • 안녕하세요. 남희성 의사입니다.

    1. 파행이라고 표현하셨는데 보행시 통증때문에 걷지를 못하시는게 맞나요?

    근력운동을 하고 보행 재활치료를 하면 파행을 치료할 수 있습니다.

    2. 엑스레이상 보면 대퇴골 중간에 불유합부위가 보이는데 이로 인해 대퇴골이 일직선이 아니고 삐뚤어져있습니다. 이게 통증을 유발하는지는 정형외과 선생님에게 물어보셔야겠습니다.

    3. 단정지을 수 없습니다. 진찰을 해봐야 알겠습니다.