아하
  • 토픽

  • 스파링

  • 잉크

  • 미션


의료상담

쾌활한코알라16

쾌활한코알라16

발치교정 1소구치, 2소구치?

안녕하세요 저는 현재 발치교정중에 있는데요


원래 비발치로 진행하다 입이 거의 안 들어가서 2년만에 다시 미니스크류를 이용한 발치교정으로 돌아섰습니다


제가 입이 심하게 돌출이라 많이 들어가야 할 거 같은데 의사 선생님이 너무 많이 들어갈 필요없다고 2소구치를 뽑으셨습니다. 편하게 힘을 안 주고 있으면 입이 많이 벌어져서 많이 들어가야할 거 같은데..

추가로 제가 상부 2소구치를 뽑고 스크류로 당긴지 3개월이 더 넘었는데 아직 이렇다 할 들어간 느낌이 전혀 없습니다.. 괜찮을걸까요 (하악의 2소구치는 천천히 갈면서 조금씩 넣고 있습니다)


1. 1,2소구치 중 뭘 뽑는가에 따라 입이 들어가는 양이 많이 차이나나요?

2. 치아를 당기기 시작한 지 3개월이 넘었는데 아직 느끼지 못했다면 문제있는걸까요? 아니면 얼마나 더 기다려야 들어가기 시작할까요?


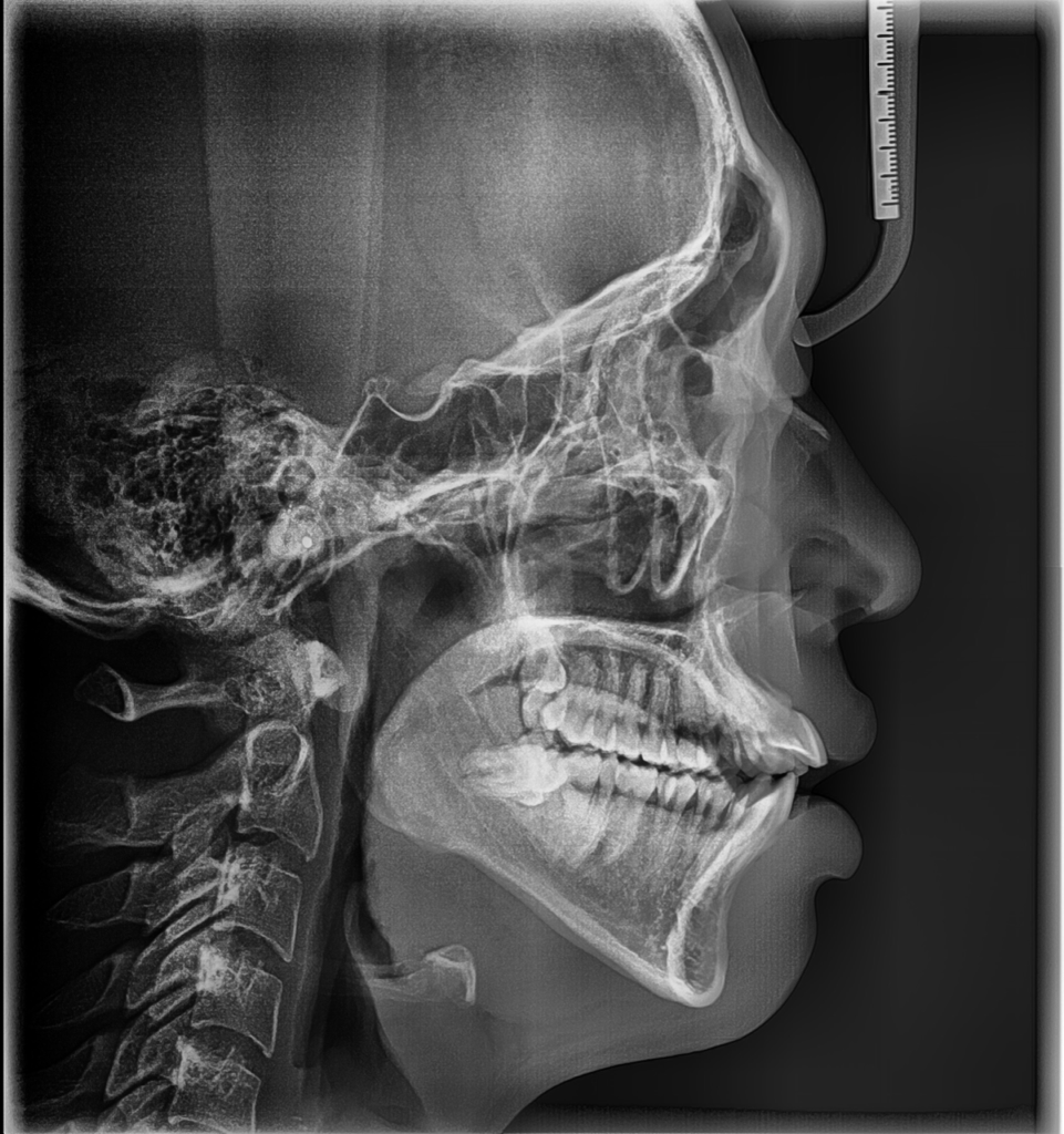
첫번째 사진은 교정 시작 전이고

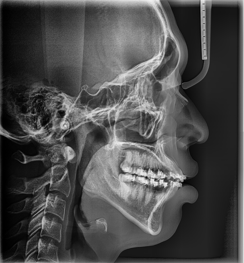
두번째 사진은 비발치 교정 시작하고 2년 지난 시점입니다(이후에 바로 발치교정으로 돌아섰습니다)









  • 1번 째 사진
  • 2번 째 사진

2개의 답변이 있어요!

  • 김철진 치과의사

    김철진 치과의사

    가까운우리치과

    안녕하세요. 김철진 치과의사입니다.

    1. 1,2소구치 중 뭘 뽑는가에 따라 입이 들어가는 양이 많이 차이나나요?

    -일반적으로 치열이 안좋아교정을 하는경우 제1소구치를 발치를 합니다. 아마 2소구치를 발치한경우는 치아를 더 뒤로 넣기 위해서 하신거 같습니다.

    2. 치아를 당기기 시작한 지 3개월이 넘었는데 아직 느끼지 못했다면 문제있는걸까요? 아니면 얼마나 더 기다려야 들어가기 시작할까요?

    -3개월이면 아직 효과가 나타난다고 느끼기는 너무 이른시기입니다.


  • 안녕하세요. 안상우 치과의사입니다.

    교정을 할 때 돌출 치아가 들어가는 속도는 더딜 수 있습니다.

    또한 밖으로 보이는 돌출입의 경우에는 나중에 치아 이동이 되고 나면서 갑작스럽게 들어가는 경우가 있기 때문에 교정 치료 과정을 지켜보는 것이 좋을 것으로 생각됩니다