아하
  • 토픽

  • 스파링

  • 잉크

  • 미션


의료상담

고요한셰퍼드292

고요한셰퍼드292

오른쪽 (치아?잇몸?) 욱씬거림 어느 과를 진료봐야할까요?

성별

남성

나이대

27

기저질환

삼차신경초종

복용중인 약

없습니다.

요근래 오른쪽 치아 내부인지 잇몸 내부인지 아프지는 않은데

기분나쁘게 주기적으로 맥박뛰듯이 욱욱거리는게 느껴집니다.

혹시 몰라 치과2-3군데 가서 진료를 보았는데

치과에서는 별다른 이상은 없다고 하시네요.

그럼 코(상악동?) 문제인지, 턱(침샘?) 문제인지

괜히 신경쓰이니 큰 병아닐까 걱정도되고

어느과를 가봐야 할지 감이 안잡혀서 질문 남깁니다.

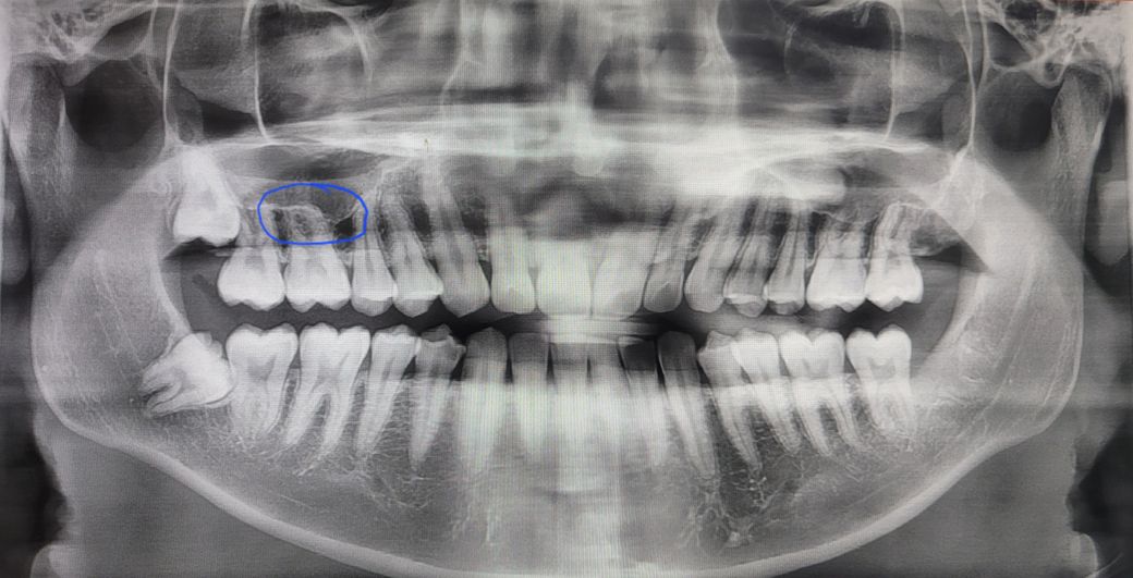
참고사진은 치과에서 찍은 사진입니다

파란 동그라미 부분이 욱욱거립니다.

  • 1번 째 사진

1개의 답변이 있어요!

  • 강성주 정형외과 전문의

    강성주 정형외과 전문의

    광주전남 정형외과

    안녕하세요. 강성주 의사입니다.

    치과에서 이상이 없었다면, 상급병원 급의 이비인후과에서 상악동 주변의 이상소견에 대해 진료를 받아보시는 것이 좋겠습니다.

    감사합니다.