아하
  • 토픽

  • 스파링

  • 잉크

  • 미션


의료상담

하얀카구240

하얀카구240

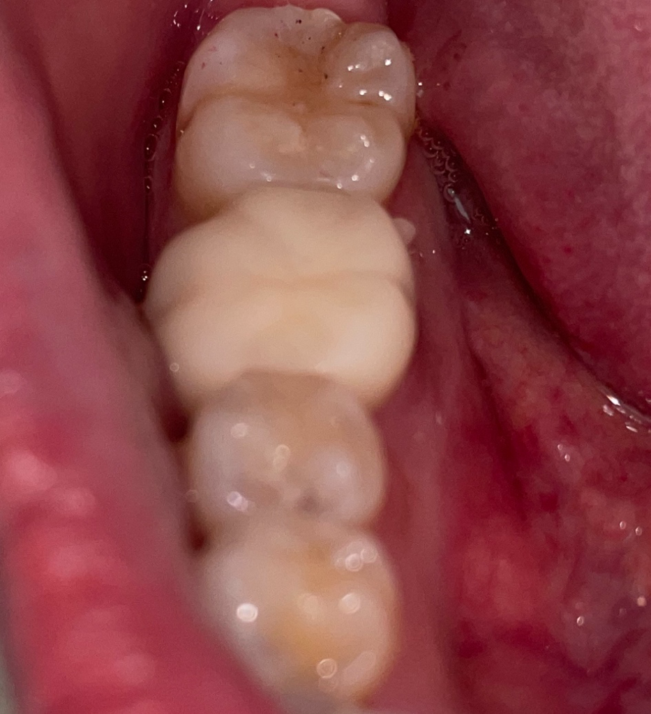
지르코니아 크라운 색 수정 어떻게 해야할까요?




정말 스트레스받습니다ㅠ

토요일에 임시부착해왔고 현재는 음식먹다가 빠진상태라 내일 치과방문할 예정인데요


크라운 색이 너무 이질감이 느껴집니다

플라스틱같아요

병원에서 치위생사가 티가 날 수 있다해서

거울을 보니 너무 티가 나더라구요

색 수정에 대해 물어보니 밝아지거나 어두워져도 비슷할거라는데..... 이거 어떻게 수정해야하나요?


인터넷으로 사진찾아보면 별로 티가 나지도 않던데 저건무슨 임시치아같아요....굴곡도 없고 색도 안맞는 것 같고... 어떻게 요구해야할지 조언 부탁드립니다..



  • 1번 째 사진
  • 2번 째 사진
  • 3번 째 사진

4개의 답변이 있어요!

  • 김지훈 치과의사

    김지훈 치과의사

    메가

    안녕하세요. 김지훈 치과의사입니다.

    자연치와 최대한 유사하게 해달라고 요청해보시는 게 좋겠습니다. 현재는 색조 차이가 나는 편입니다.

  • 안녕하세요. 김철진 치과의사입니다.

    치아 색상차이가 많이나서 맘에 안드신다면 치과에 가셔서 색 수정을 요구하시면됩니다. 임심접착 상태이니 수정이 가능할것같습니다.

  • 안녕하세요. 최석민 치과의사입니다.

    색상은 수정이 불가능하고 다시 제작을 해야 하는데 그렇다 하더라도 이질감이 느껴지는 것 어쩔 수 없습니다. 지르코니아 특유의 불투명한 느낌 때문입니다.

  • 안녕하세요. 송우식 치과의사입니다.

    기존 치아색상과 너무 차이가나서 심미적으로 신경이 쓰인 경우 해당치과에 방문하여 색상을 조정가능하며, 만약 교합에 불편감이 있는 경우에는 다시 제작하여 치료가 필요로 될수 있습니다.

    궁금증 해소에 도움이 되시길 바라며, 도움이 되신 경우 '추천' 부탁드립니다.