강아지 폐종양 의심되는데 봐주실 수있을까요?
11살강아지 입니다.
폐에 종양의심소견이 보인다고 해서요.
3.8kg에서 최근 3.3kg으로 몸무게 감소가 있었습니다.
공놀이를 여전히 좋아하고 과일이나 간식을 잘먹습니다.
7월부터 기침을 간헐적으로 하다가 최근 심해져서 병원에 갔는데 엑스레이 상 폐종양이 의심된다고 해서요.
악성종양일 가능성이 높다고 하는데
수술 후 예후가 좋을 지,
ct를 찍어보는게 좋을지 판단이 안섭니다.
한번 확인 해 주실 수 있을까요?
혹시 다른데서 전이가 된것처럼 보이지는 않을까요?
비수술적 치료를 택한다면 얼마나 시간이 남아있을까요..?
안녕하세요. 이은수 수의사입니다.
가장 정확한 답을 알고 계시는것은 주치의 선생일것으로 생각되고
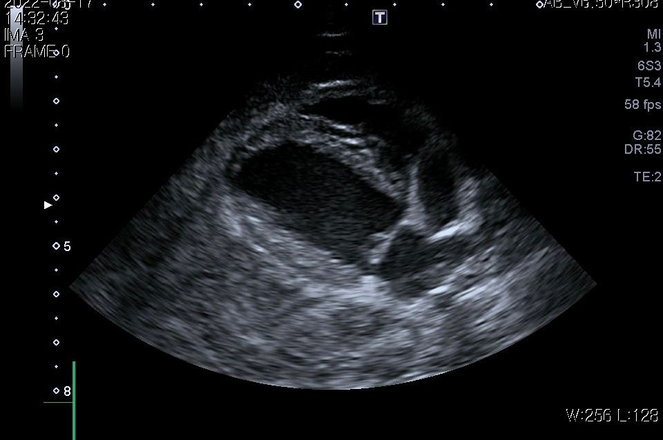
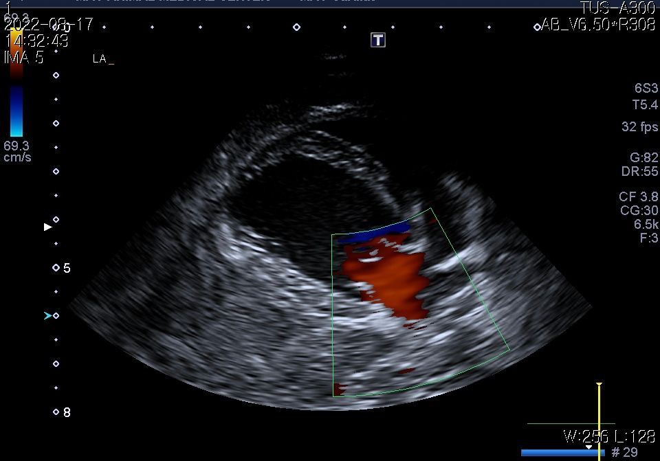
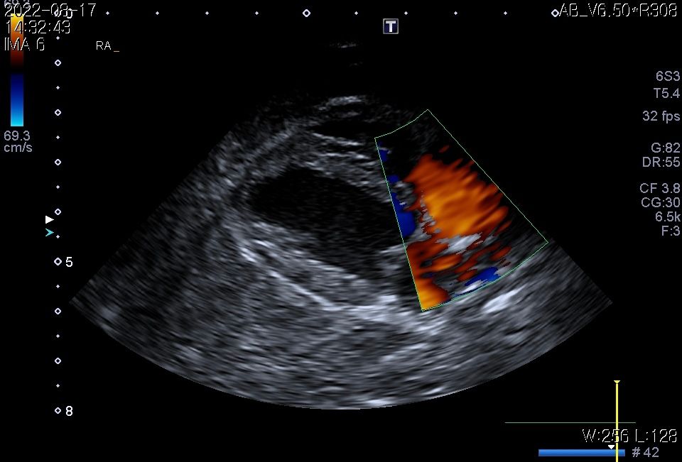
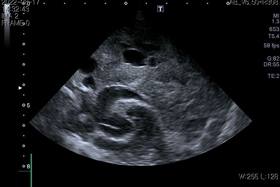
첨부해주신 사진만을 기초로 볼때 폐종양인 경우 좌측 폐전엽부의 종양이, 폐종양이 아닌 경우 종격동내의 종양 특히 흉선종양의 가능성이 높아 보입니다.
이 두가지 종양의 가능성이 사실 가장 높은 상태에서 CT 촬영을 해보아야 하는 이유는
폐종양의 경우 수술로 적출하는것이 비교적 수월하고 수술 이후 어느 정도 절제 하느냐에 따라 정상 생활까지 가능한 상태가 될 수 있기 때문입니다.
물론 폐 종양이 좌측 폐 전엽의 앞쪽 부분에 국한하여 있을 때만을 이야기 하는것으로
만약 좌측 폐전엽의 뒤쪽 부분까지 적출해야 하는 상태의 종양인 경우 수술 이후 호흡 부전이 잘 오고 산소처치를 계속 받으면서 살아야 할 가능성도 고려해야 합니다.
좌측 폐는 산소 교환 능력의 40% 정도를 차지하고 폐엽 절제술 후 산소 교환능에 영향을 주는 기준점이 40% 폐엽이니까요.
또한 흉선종인 경우 이정도 크기로 증가하는 경우에는 대부분 adenocarcinoma인 경우가 많고 그런 양상인 경우 혈관이나 미주신경 침습등의 가능성이 높아 수술불가 판정이 나올 수 있습니다.
이런 경우에는 인터페론 치료와 면역계 치료, 항암, 방사선 요법, 중제적 시술을 통한 크기 줄이기등 비 수술적 요법이 적용되어야 합니다.
특히 내과적 치료가 중요한 이유가 종괴의 크기가 점차 커지면서 머리쪽에서 오는 정맥을 압박하여 막게 되면
뇌압상승이 유발되면서 만성적인 두통과 뇌출혈에 의한 급사, 울혈로 인한 안면부종, 충혈, 작은 출혈 후 멈추지 않는 현상 등 다양한 혈관 압박성 증상이 나타날 수 있기 때문입니다.
앞으로의 처치 방향을 결정하기 위해서라도 CT 촬영을 통해 수술 가능종양인지, 수술을 하지 않더라도 다른 중재적 시술이나 내과적 치료의 플랜을 짜야 하는 상황이라고 보시면됩니다.
현재 위치가 그리 좋지 않은 상태이기 때문에 기대 수명을 말하라면 어렵지만
지금 당장 뇌출혈로 사망해도 이상할게 없는 상태이나 진단과 치료 방향에 따라 훨씬 오랜 기간 생존할 가능성이 있으니 주치의와 잘 상의해 보시는걸 권합니다.
사공이 많으면 배가 산으로 가지만
강아지도 산으로 가서 묻힙니다.
우선 환자를 직접 본 주치의 선생의 말을 일차적으로 수용하시고 깊은 대화를 통해 방향을 결정하시는걸 추천드립니다.

