아하
  • 토픽

  • 스파링

  • 잉크

  • 미션


의료상담

비상하는 올빼미862

비상하는 올빼미862

22.06.16

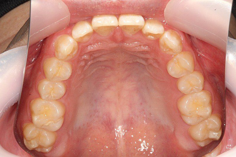
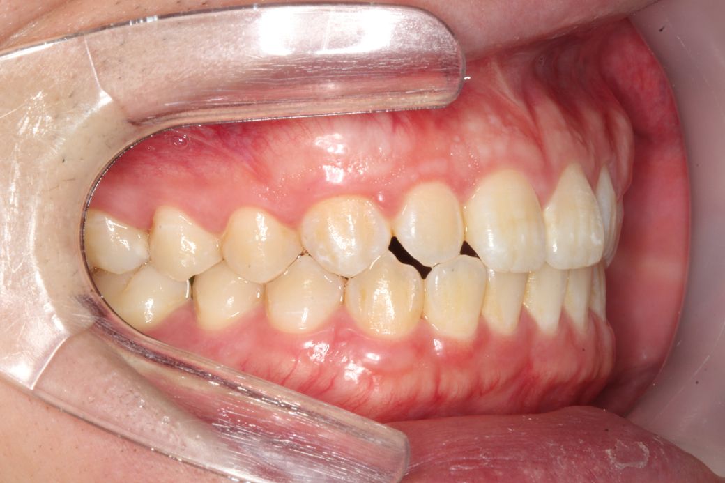
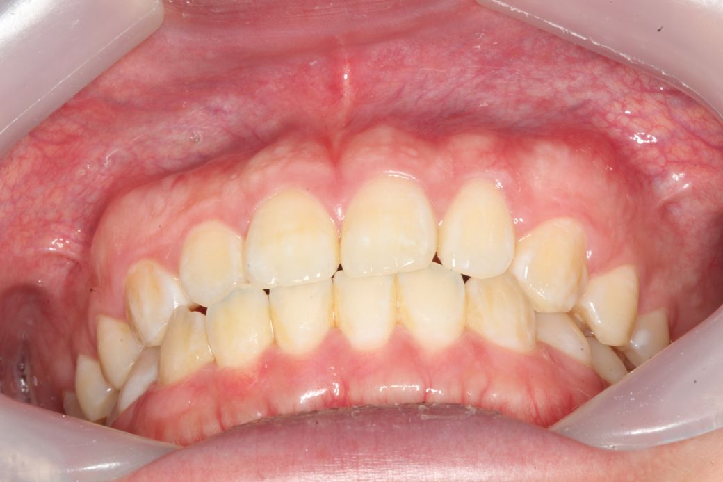
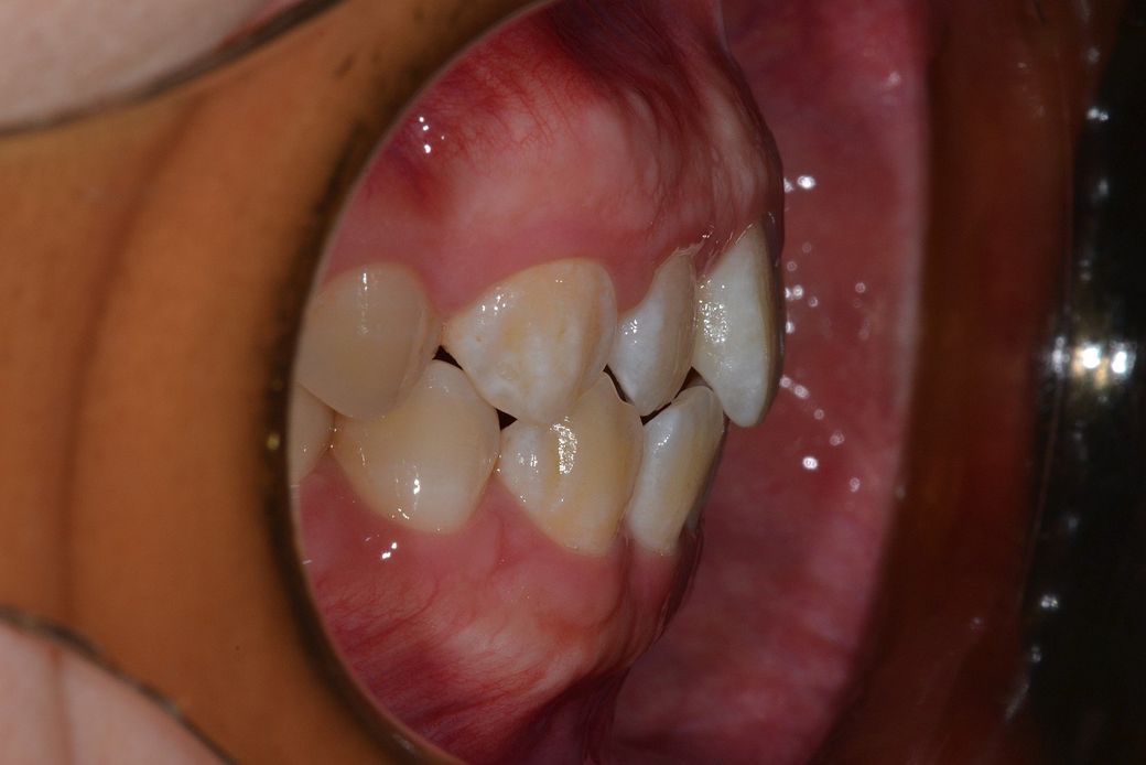
치아잇몸 앞으로 뻗침 되어 있는건가요?

치과에서 사진찍었는데 사진을 보니 잇몸이 돌출된 느낌이 들어서요 치아 각도는 정상같아 보이는데 잇몸이 전체적으로 앞으로 쏠린느낌이 듭니다

잇몸도 다른분들은 붉은색이나 선홍색을 띄는데 저는 치아 뼈 때문인지 하얀색도 많고 울퉁불퉁 한 느낌이에요

잇몸이 전방돌출 된 것 일까요?

이러면 나중에 치아건강이나 잇몸건강에 문제가 생길 수 있나요?

  • 1번 째 사진
  • 2번 째 사진
  • 3번 째 사진
  • 4번 째 사진
  • 5번 째 사진
  • 6번 째 사진
  • 7번 째 사진

2개의 답변이 있어요!

  • 송우식 치과의사

    송우식 치과의사

    솔플란트치과 경기도 성남시 모란역

    22.06.17

    안녕하세요. 송우식 치과의사입니다.

    이정도는 정상범주에 속합니다. 잇몸뼈가 약간 두껍고 약간 앞으로 나오긴 했지만 건강한 잇몸과 잇몸뼈

    상태입니다. 이것 때문에 나중에 잇몸 건강에 나쁜 영향을 주지는 않습니다.

  • 안녕하세요. 정진석 치과의사입니다.

    잇몸 돌출도 아니며 정상입니다. coral pink의 정상적인 잇몸 색이며 잇몸의 모양은 사람에 따라 다르며 치조골의 두께도 다를 수 있습니다. 따라서 현재의 정도는 비정상적이라고 하지 않으며 이를 치료해야 하는 질병도 아닙니다.

    아무쪼록 저의 답변이 문제 해결에 작게 나마 도움이 될 수 있기를 기원드립니다. 항상 건강하고, 행복하세요^^

    정진석 치과의사 드림