아핫뉴스실시간 인기검색어
아핫뉴스 화산 이미지
화산 아이콘 11
합숙맞선 중단 결정
아하

의료상담

이비인후과

비상하는 올빼미862
비상하는 올빼미862

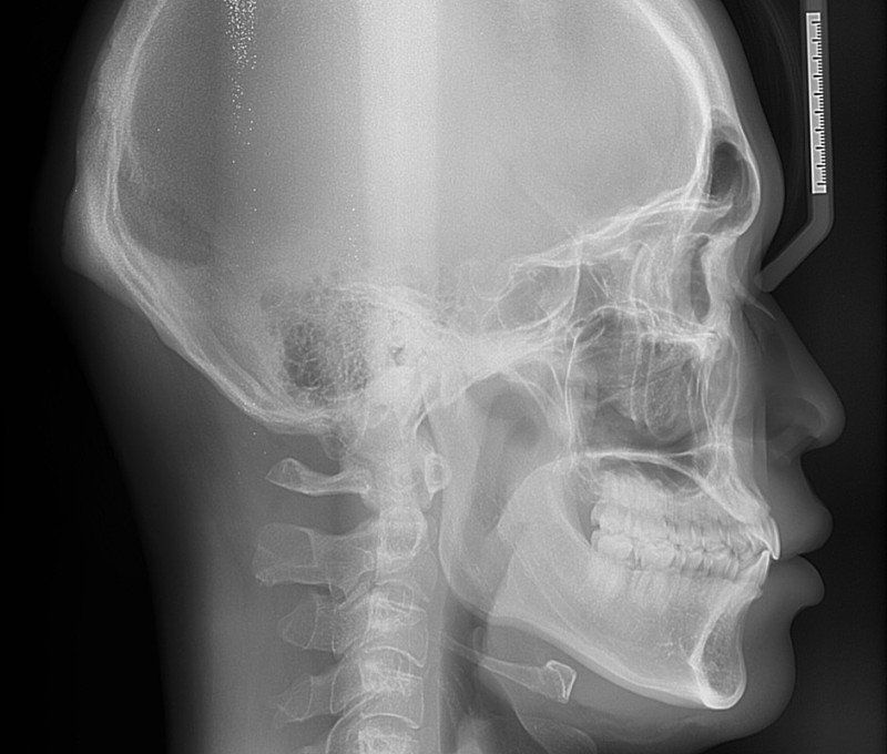
거북목인가요? 아님 그냥 하악턱이 돌출되어서 그런건가요?

평소에 그냥 편한자세로 걸어다니는데 주변에서 허리피고 턱내리고 걸으래요ㅠ

뭔가 제가 턱을 들고다니는것같기도 하고 아닌것같기도 해서 잘모르겠어요

질문1)거북목이면 턱도 들고다니나요?

질문2)턱이나와서 그렇게 보이는건지 아니면 거북목증상 있어서 그런건지 알수있을까요? 대략적으로라도요

허리피고 가슴피고 턱내리고 다니면 뒷목부근이 땡겨서 불편해요

질문4)거북목이면 어떤운동하면 교정가능할까요?

  • 1번 째 사진
  • 2번 째 사진
  • 3번 째 사진
  • 4번 째 사진
2개의 답변이 있어요!
  • 안녕하세요 아하(Aha) 의료, 코로나 카테고리에서 활동중인 전문의입니다.

    턱의 문제보다는 고개를 들고 걷는 경향이 심한 것으로 보입니다.

    턱은 일반적인 상태로 보입니다.

    참조하시어 도움이 되기를 바랍니다.

     

  • 1. 거북목이 있다고 턱을 들고 다니지는 않습니다.

    2. 올리신 옆모습 사진이나 두부의 x-ray 사진으로는 거북목 여부를 판단할 수 없습니다.

    3. 자세 교정을 위한 운동이 거북목 교정에 도움이 되며 필라테스나 피트니스 등을 추천드립니다.