아하
  • 토픽

  • 스파링

  • 잉크

  • 미션


의료상담

귀중한침팬지24

귀중한침팬지24

부정교합 교정 찬성/반대 의견 부탁드립니다

안녕하세요
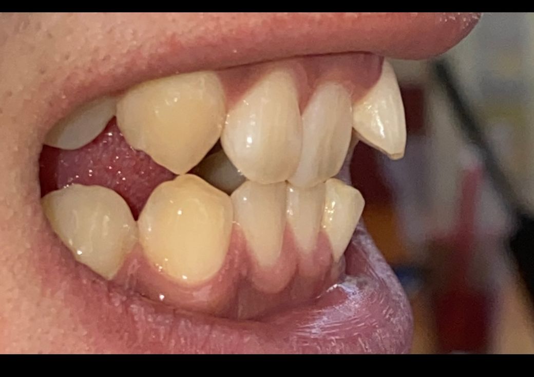
요즘 치아문제로 치과를 다니고있습니다. 오늘도 신경치료를 받고왔는데요, 치과에서 교정을 권하더라구요?
이유는 윗어금니제일 안쪽 사랑니옆에있는 어금니가 바깥으로 나가있다,아래이빨하고 맞물리지않아서 제기능을 못한다. 교정이필요해보인다 안한다하면 그냥 충치치료만 하면되는데 그래도 하는게좋지않을까 싶다. 라고 하시더라구요 앞니도제가 하나가 앞으로나와있는데 그앞니도 더 나올수 있다고 하구요, 비용은 4-500정도 예상된답니다. 이런치아의경우 턱이 엄청아프다고하던데 살면서 턱아픈적 없습니다 입도많이안튀어나와있구요 그냥 정상입니다.. 의사쌤도 옆면 보시더니 그래도 입은안튀어나왔는데 나올수도 있다고만 하신 상태인데 고민이되는점은

28살의 나이에 2년 반 넘게 불편하게 다니면서까지 해야하나? 외관상으로도 보기안좋고.. 굳이 해야하나? 싶습니다.

외관상으로 크게 티도안나고 이빨이 이런지 모르는사람들도많습니다, 그리고 평소에 잘먹고 잘 씹습니다..

임플란트도 예정되어있는데 이것도 교정끝나고 해야된다고 하더라구요 하게되면 ,

교정이 꼭 필요한가요? 저는 하고싶지않은데.. 정말꼭 해야되는건가요?



  • 1번 째 사진
  • 2번 째 사진
  • 3번 째 사진

1개의 답변이 있어요!

  • 안상우 치과의사

    안상우 치과의사

    목동안치과의원

    안녕하세요. 안상우 치과의사/경제·금융전문가입니다.

    치아는 정상적인 위치에서 교합이 되어야 치주질환이나 교합문제를 발생시키지 않기 때문에 교정치료 예후가 좋다면 교정을 하는것이 장기적인 측면에서 구강건강에 도움이 됩니다.