아하
  • 토픽

  • 스파링

  • 잉크

  • 미션


의료상담

무한한곰탕

무한한곰탕

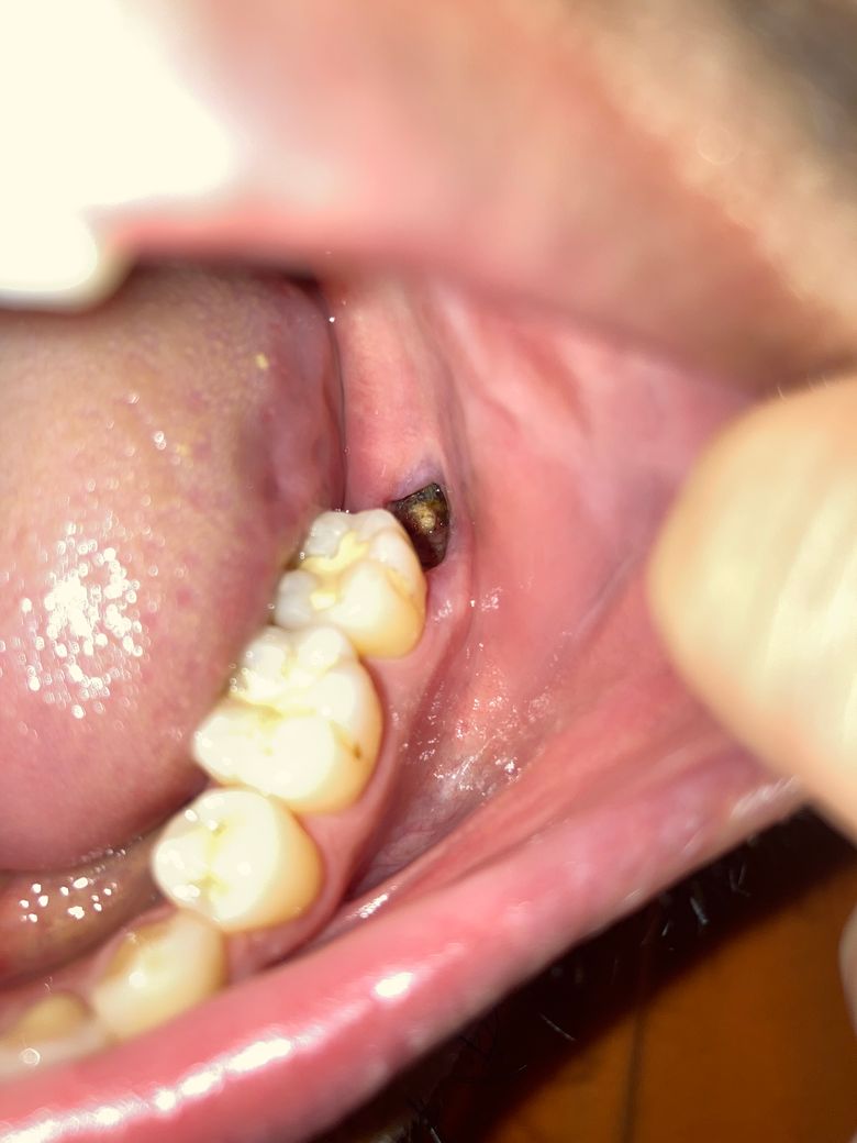
사랑니 발치 5일차 잘 회복중인 건가요?

5일 전 양쪽 사랑니 발치했습니다. 매복은 아니어서 봉합은 하지 않았습니다.

처방해준 소염제 진통제 모두 제때 잘 복용했고 헥사메딘도 100ml 모두 사용했습니다.

통증은 딱히 느껴지지 않고 발치 부위 앞 어금니만 아주 약간 시린 느낌 있습니다.

사진상으로 보았을 때 잘 아무는 중인지 판단 가능할까요?

  • 1번 째 사진
  • 2번 째 사진

4개의 답변이 있어요!

  • 안상우 치과의사

    안상우 치과의사

    목동안치과의원

    안녕하세요. 안상우 치과의사입니다.

    사랑니를 발치한 후 해당 부위의 혈병이 완전히 형성되지 않은 것으로 보입니다 발치한 부위를 자극하지 않는 것이 좋습니다 발치를 한 부위는 자극을 하지 않는다면 일반적으로 2주 정도 지나면 아물게 됩니다.

  • 안녕하세요. 김철진 치과의사입니다.

    사진상을 보면 크게 문제가 잇어 보이진 않습니다. 음식물등이 발치한공간에들어가 잇는상태이니 치과에 가셔서 소독한번 받아보시는게 좋을것같습니다.

  • 안녕하세요. 송우식 치과의사입니다.

    사진상으로 발치부위가 잘 아무는 것으로 보이며, 해당부위에 염증이 덧나지 않도록 소독용 헥사메딘 가글액으로 가글하여 관리하길 권합니다.

    궁금증 해소에 도움이 제 답변이 도움이 되셨길 바라며, '👍' 눌러주시길 부탁드립니다.

  • 안녕하세요. 최석민 치과의사입니다.

    1. 사진상으로 정확히 파악은 어려우나 별다른 증상이 없다면 큰 이상은 없는 것으로 보입니다.

    2. 잇몸이 닫히는데는 2주정도 소요되고, 완전히 잇몸이 차오르기까지는 2달 정도 소요됩니다

    3. 앞 어금니가 시린 것은 사랑니가 차지하고 있던 부분이 없어지면서 말하자면 어금니 옆구리가 드러나서 그렇습니다. 다시 잇몸이 차오르면 자연스럽게 시린 증상은 사라지나 지속적으로 불편하면 치과 가셔서 지각과민처치를 받으실 수 있습니다.