의료상담
어릴때부터 무릎뼈에 있던 혹이 있습니다.
성별
남성
나이대
18
기저질환
x
복용중인 약
x
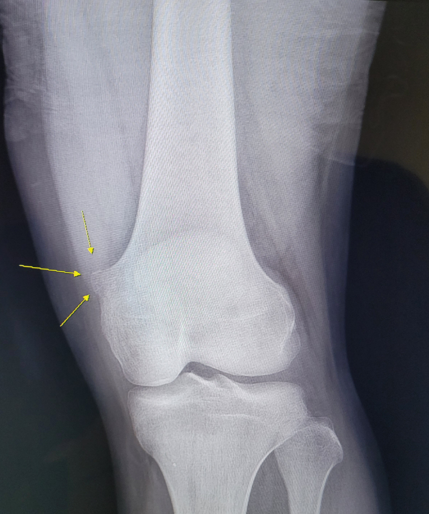
오늘 의원급 정형외과에서 어쩌다보니 무릎 x-ray를 찍게 됐습니다. 그래서 뼈가 저런걸 확인했습니다. 여태 살면서 무릎 x-ray를 찍어본적이 없어서 확인할 기회가 없었어서 저런건지는 모르고 어릴때부터 만지기만 했었습니다. 3개월정도 전에 뼈 모양이 다른걸로 걱정하느라 정형외과 가서 초음파를 했었는데 초음파상으로는 그냥 뼈가 튀어나온걸로 확인하고 넘어갔었습니다. 이번에 이 사진을 보시고는 원장님이 별거 아닌걸로 보인다고 하셨지만 맘편해지려면 근처 상급병원가서 검사를 해보라고 하셔서 바로 다녀왔고 거기서도 신경쓸 필요가 없는 양상이라고 하셨습니다.
서론이 길었는데 두 병원 모두에서 신경쓸 필요 없다고 하신거면 그냥 신경꺼도 되겠죠..?
55글자 더 채워주세요.
2개의 답변이 있어요!
안녕하세요. 강성주 의사입니다.
모양 및 위치상 악성종양 등의 가능성은 매우 떨어져 보입니다.
전혀 걱정하실 필요는 없지만, 만약 관찰도중 크기가 커지거나 변화가 있다면 그때는 다시 병원에 내원하시어 다시 검진을 받으시는 것을 추천드립니다.
감사합니다.
안녕하세요. 최병관 의사입니다.
이전부터 있던 병변이며 큰 변화가 없고 상급병원에서 이미 진료를 받으셨기 때문에 해당과에서 외래 경과를 관찰하면 좋겠습니다.

