아하
  • 토픽

  • 스파링

  • 잉크

  • 미션


의료상담

제니퍼샘

제니퍼샘

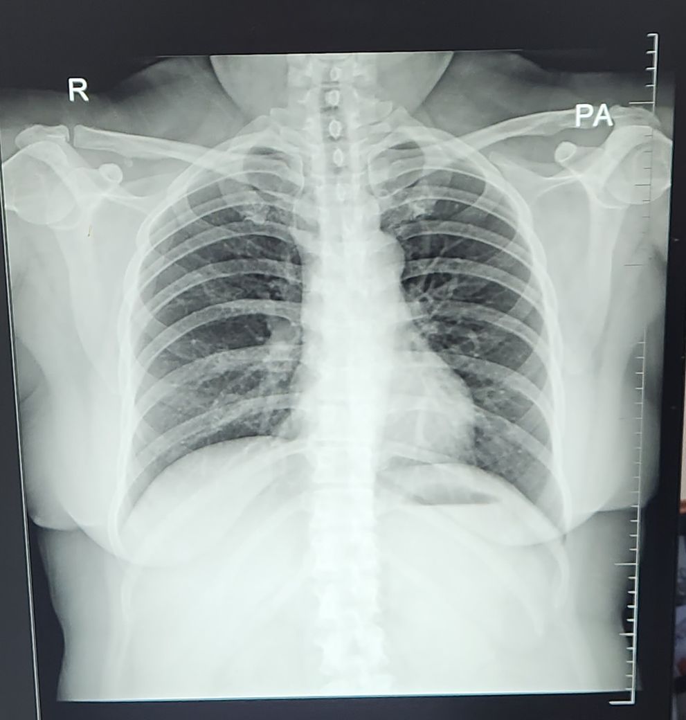
엑스레이좀 봐주세요. 기관지염이 맞나요?

성별

여성

나이대

43

기저질환

당뇨. 허리디스크

복용중인 약

당뇨약. 마약진통제. 수면제

기관지염이 3월말부터 안낫고 있습니다.
아이한테 아데노 바이러스 옮은뒤 모든 종합감기 다 앓고난후 가슴 위쪽 중앙 속이(기관지?) 24시간 간질간질한 가래기침을 한달째 심하게 하고있습니다.
항생제 20일복용, 각종 기침과 기관지염, 스테로이드, 소염진통제, 천식 약등을 복용해도 아예 호전이 없습니다. 엑스레이 사진상 기관지염이 맞나요?

동네 병원에서는 기관지염이 심하다하고..

대학병원 호흡기내과 에서는 기관지염이 아니라고 하는데 누가 맞는건지 모르겠습니다ㅜ
항생제를 더 먹어야 낫는건가요?
어떤 치료를 해야 하는지요?

허리환자라 병원 한번 내원하기가 힘든 상황입니다..

  • 1번 째 사진

1개의 답변이 있어요!

  • 서민석 의사

    서민석 의사

    가톨릭대학교 인천성모병원 가정의학과

    안녕하세요. 서민석 의사입니다.

    기관지염은 흉부 엑스레이에서 진단하기는 어렵답니다. 제가 봤을 때도 기관지염이 심하다고 느껴지지는 않아요. 아데노 감염이후라면 후비루 증후군일겁니다. 기침이 심하고 오래가는 것이 특징입니다. 콧물, 기침약을 드시면서 기다리다보면 좋아질 겁니다. 항생제는 그만 드셔도 될 것 같구요.