아하
  • 토픽

  • 스파링

  • 잉크

  • 미션


의료상담

탈퇴한 사용자

탈퇴한 사용자

기침이 한달째고 독한 항생제를 먹어도 안나서 폐엑스레이를 찍었는데 좀더 큰병원을 가봐야할까요?

성별

여성

나이대

62

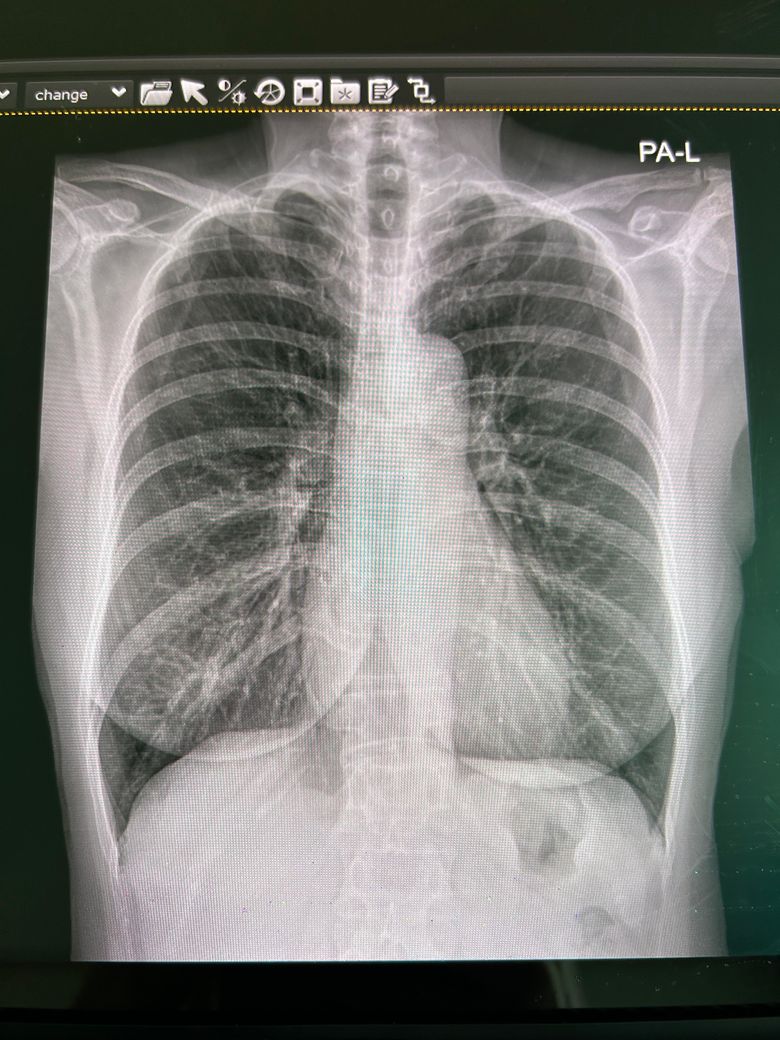
엑스레이상 문제가 있는 부분이 있나요?

기관지염이라고 하는데

밤에 심하고 기침이 너무오래갑니다...

엑스레이 찍은 사진입니다~

코로나도 아니고 감기도 아닌데 이렇게 게침만 오래가는건 처음입니다 ㅠㅠ

  • 1번 째 사진

4개의 답변이 있어요!

  • 강성주 정형외과 전문의

    강성주 정형외과 전문의

    광주전남 정형외과

    안녕하세요. 강성주 의사입니다.

    기관지염으로 인한 경우라면 기침 등이 오래 지속될 수 있어

    항생제 치료가 장기간 필요할 수 있으며

    복용약으로 조절이 되지 않는다면 폐CT촬영 및 입원치료를 받으시는 것을 추천드립니다.

    감사합니다.

  • 안녕하세요. 신성현 의사입니다.

    엑스레이상으로는 기침을 유발할 만한 특이 병변은 없는 것으로 판단 됩니다. 증상이 지속되신다면 CT등으로 정밀검사를 받아보시는 것도 도움이 되겠습니다. 감기이후 기관지과민성과 후비루로 2달이상 잔기침이 지속되는 경우도 있습니다

  • 안녕하세요. 채홍석 의사입니다.

    감염후기침의 경우 요새는 2-3달 지속되기도 합니다

    하지만 걱정이 되신다면 흉부CT를 찍어보세요

    그러면 폐에 병변 여부는 확실히 알 수 있을 것 같습니다

    추천 좋아요 부탁드립니다.

  • 안녕하세요. 서민석 의사입니다.

    흉부 X-ray는 큰 이상 없어 보입니다. 항생제도 충분히 써도 효과가 없다면 기관지염 가능성도 떨어진다고 봐야 합니다. 후비루 증후군이나 천식, 역류성 식도염에 대한 치료도 해보시는 것이 좋을 것 같습니다.