아하
  • 토픽

  • 스파링

  • 잉크

  • 미션


의료상담

은근히멋쩍은율무차

은근히멋쩍은율무차

25.03.19

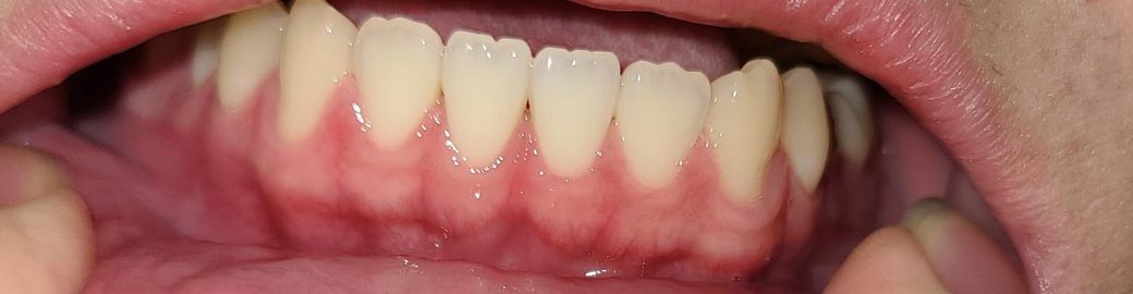
스케일링 받은지 5일 지났는데 치은염인가요?

15일에 스케일링을 받았고,

받을때 치위생사분이나 받고나서 전체적으로 검진봐주신 치과의사분 모두 치은염 관련 얘기는 안하시긴하셨습니다

받을때 피도 크게 안났는지 피맛도 안느껴졌구요

받을때 통증도 크게 못느꼈습니다..

일단 오늘 양치하고나서 보니 뭔가 붉어보이는것같아서요.. 양치하면서 피는 안 났습니다

그냥 제가 불안감이 높아서 그런건가요?

  • 1번 째 사진

5개의 답변이 있어요!

  • 송우식 치과의사

    송우식 치과의사

    솔플란트치과 경기도 성남시 모란역

    25.03.20

    안녕하세요. 송우식 치과의사입니다.

    이정도면 정상적인 잇몸입니다. 붉은 것은 원래 잇몸은 약간 붉은색을 뜁니다. 양치시 피도 안나면 치은염 없는 것입니다.

  • 안녕하세요. 김철진 치과의사입니다.

    사진상으로는 큰 문제가 잇어 보이는건 없습니다. 양치를 잘하시고 정기적으로 치과를 다니시면서 관리 받으시면될것같습니다.

  • 안녕하세요. 최석민 치과의사입니다.

    잇몸상태는 특별히 사진상 봤을때 문제는 없어보입니다 평상시 바스법으로 양치하면서 관리 잘해주시면 되겠습니다

  • 안녕하세요. 김지훈 치과의사입니다.

    잇몸은 깨끗하게 보입니다. 아래쪽에 혈관이 보이는 것은 정상적인 조직에서도 나타납니다.

  • 안녕하세요. 안상우 치과의사입니다.

    사진으로 봤을 경우에는 크게 문제가 있는것으로 보이지는 않습니다.

    치석이 생기지 않도록 하기 위해서는 양치질을 꼼꼼이 하고 치실을 사용해 주는것이 좋습니다.