아하
  • 토픽

  • 스파링

  • 잉크

  • 미션


의료상담

도외주세요

도외주세요

교정중 치아나 잇몸 상태 괜찮나요??

교정은 작년 4월부터 했고 이제 6개월 정도 남았다고 했습니다

발치 교정을 진행했는데 잇몸이나 치아뿌리가 짧아지는 부작용이 생긴 건 아닌지 걱정되는 마음에 질문을 올립니다! ㅠㅠ

전체적으로 치아나 잇몸에 걱정할만한 사항이 있는지 자세히 말씀해주셨음 해요! 부탁드립니다! ㅠㅠ

+앞니 하나는 임플란트 예정이라 임시치아중입니다!

해당 임시치아의 잇몸뼈도 괜찮은지 봐주시면 감사하겠습니다!

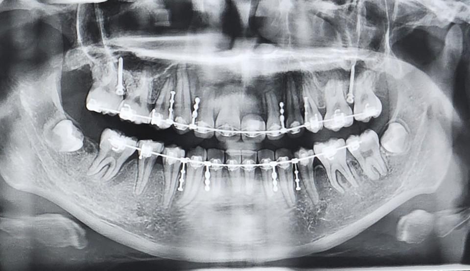
  • 1번 째 사진

4개의 답변이 있어요!

  • 송우식 치과의사

    송우식 치과의사

    솔플란트치과 경기도 성남시 모란역

    안녕하세요. 송우식 치과의사입니다.

    정상적인 치아 상태로 보이며, 잇몸뼈 상태로 정상적인 것으로 보입니다. 임시치아 한 부위도 뼈폭은 적당한 것으로 보이며 다만 뼈 두께는 지금 파노라마 사진상에서는 확인 안되고 ct 보아야 판별 가능합니다.

  • 안녕하세요. 김지훈 치과의사입니다.

    사진상으로는 특별히 문제가 보이진 않습니다. 교정중에는 치아나 잇몸이 약해지는 듯한 느낌이 들 수 있습니다.

  • 안녕하세요. 정진석 치과의사입니다.

    현재 사진에서 보았을 때는 뿌리 흡수 등의 부작용이 보이지 않으며 잇몸 역시 큰 문제가 없어 보입니다. 계속해서 교정을 진행하셔도 무방해보입니다. 다만 임플란트 식립 부위의 뼈를 정확히 알기 위해서는 dental-ct를 촬영해야 하며 뼈의 폭이 어느정도인지 파악을 해봐야 할 것으로 보입니다. 임플란트 식립을 위한 깊이는 괜찮아 보이나 폭이 어떨지는 ct로 판단을 해야 합니다.

    아무쪼록 저의 답변이 문제 해결에 작게 나마 도움이 될 수 있기를 기원드립니다. 항상 건강하고, 행복하세요^^

  • 안녕하세요. 최석민 치과의사입니다.

    전,후 사진이 둘다 있다면 좀 더 비교가 될 것 같습니다. 치아 뿌리 흡수 관련하여 뿌리의 길이의 경우 위 사진에서는 다소 왜곡되어 보이는 경우도 있습니다.