아핫뉴스실시간 인기검색어
아핫뉴스 화산 이미지
아하

의료상담

치과

배부른고래253
배부른고래253

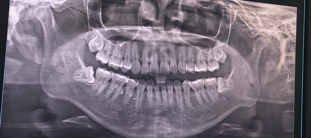
매복 사랑니 발치 시 뼈 삭제 필요할까요?


왼쪽 하악, 상악 사랑니 발치를 앞두고 있습니다. 오른쪽은 5월에 발치 했구요! 오른쪽은 잇몸에 덮여있었는데, 왼쪽은 살짝 끝에 매복사랑니가 보여요.

이럴 경우도 뼈 삭제 가능성이 있을까요?

  • 1번 째 사진
55글자 더 채워주세요.
3개의 답변이 있어요!
  • 안녕하세요. 송우식 치과의사입니다.

    왼쪽 아래 사랑니는 수평 매복 사랑니로 치아를 부수고 뼈도 삭제해야 발치할 수 있을 것으로 보입니다.

    왼쪽 위의 사랑니도 매복되어 뼈삭제 할 수도, 혹은 하지 않고 할 수도 있습니다.

  • 안녕하세요. 김철진 치과의사입니다.

    저정도면 뼈삭제를 하더라도 많이하지는 않을꺼 같습니다 치아를 쪼개서 일단은 빼볼것같습니다.

  • 안녕하세요. 김지훈 치과의사입니다.

    잇몸 밖으로 보인다하더라도 잇몸을 열었을때 뼈가 사랑니를 덮고있으면 뼈삭제를 해야합니다

PC용 아하 앱 설치 권유 팝업 이미지장도연이 추천하는 아하! 앱으로 편리하게 사용해 보세요.
starbucks
앱 설치하고 미션 완료하면 커피 기프티콘을 드려요!