아핫뉴스실시간 인기검색어
아핫뉴스 화산 이미지
화산 아이콘 11
이해찬 전 총리 운구
아하

의료상담

정형외과

꽤자신있는오므라이스
꽤자신있는오므라이스

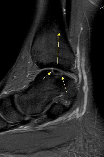
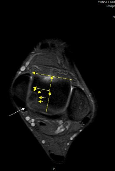
발목 박리성 골연골염 mri 판독 부탁드립니다

성별
남성
나이대
23
기저질환
박리성 골연골염

박리성골연골염 진단을 받았습니다.

골연골염이 체중 부하 관절면에 몇퍼센트 정도 되어있는건지 판독 부탁드립니다

감사합니다.

  • 1번 째 사진
  • 2번 째 사진
  • 3번 째 사진
3개의 답변이 있어요!
  • 안녕하세요. 김의균 물리치료사입니다.

    박리성골연골염 진단을 받으신 상태에서 MRI판독을 받고 싶으시다면 가까운 병원에 방문하시어 전무의와 상담을 가져보시는게 좋을 것으로 생각됩니다. 사진상으로만 확인하기에는 어려움이 있을 수 있습니다.

    감사합니다 수고하세요~

  • 안녕하세요. 김덕현 물리치료사입니다.

    박리성골연골염 진단을 받은상태에서 MRI판독을받고싶다면 병원에서 전문의와상담을받아보는것이좋습니다

    확인하지못한 부분이있을수도있고 사진상으로만 확인하기에는 어려움이있으니 병원에 문의해보시길 바랍니다~ 감사합니다~~

  • 안녕하세요. 송진영 물리치료사입니다.

    박리성 골연골염의 경우 정확한 상태와 정도는 전문의의 진단이 필요합니다. Mri결과에 대한 해석은 반드시 의료 전문가에게 문의해 상담을 받는 것이 중요합니다

    긴 글 읽어주셔서 감사합니다:)