아하
  • 토픽

  • 스파링

  • 잉크

  • 미션


의료상담

쑥라떼와대추차

쑥라떼와대추차

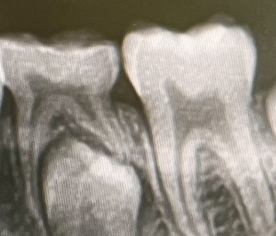
인접면 충치 의심이 가는 엑스레이 영구치 걱정

사진 상의 인접면에 충치처럼 보여 사진 찍은 치과에 문의 하였으나 충치가 없다고 하셨어요.

그래서 두번째 치과에 문의 하였으나 충치가 없다고 하셨고.

이곳에서 사진을 추가로 찍을줄 알았는데 눈으로 검진 하시고 괜찮다고 전체적으로 치료할데 없다고 가라고 하셨습니 다. 이 치과는 평이 좋고 한곳에서 오래된 치과인데 비전문가인 제가 충치라고 우기기가 어려워서 그냥 나왔습니다.

파노라마 엑스레이에 저런 모양이 있는데도 충치가 아닐 가능성도 있나요? 그런 경우가 흔한가요?

유치는 빠질테니 괜찮은데 만약 충치가 맞다면 그 옆의 영구치도 같이 진행될거라 걱정입니다.

다른

치과를 또 가봐야 하나 고민이 됩니다.

아이 데리고 치과 가는게 쉽지 않아서요ㅠㅠ

  • 1번 째 사진
  • 2번 째 사진

3개의 답변이 있어요!

  • 김지훈 치과의사

    김지훈 치과의사

    메가

    안녕하세요. 김지훈 치과의사입니다.

    사진상 충치가 있는 것은 맞으나 유치라서 치료를 꼭 하지는 않아도 될 것으로 보이고 관리잘하면 됩니다.

  • 안녕하세요. 김철진 치과의사입니다.

    엑스레이 상으로 충치가 잇어 보이진 않습니다. 관리만 잘하면 크게 문제가 되진 않을것같습니다.

  • 안녕하세요. 안상우 치과의사입니다.

    사진으로 봤을 경우에는 초기 충치가 있을 가능성이 있습니다. 하지만 매우 작은 크기이기 때문에 굳이 치아를 삭제할필요는 없었을수 있습니다.

    해당부위를 치실을 이용해서 관리를 잘해주는것을 권유드립니다.