아핫뉴스실시간 인기검색어
아핫뉴스 화산 이미지
화산 아이콘 11
신한카드 개인정보 유출
아하

의료상담

치과

대단한콘도르114
대단한콘도르114

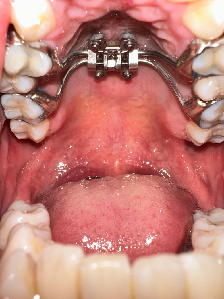
악궁확장장치가 너무 뻑뻑해서 안돌아가요

스패너로 돌리는 악궁확장장치를 근 한달 가까이 돌렸는데요. 이제 너무 뻑뻑해가지고 더 이상 안돌아가요 억지로 세게 돌리려고 해도 돌아가지 않고 미끄러져서 자꾸 앞니 잇몸을 치네요..

오늘 억지로 돌리려다가 윗니 잇몸만 패이고 상처났네요…

아직 치과가려면 일주일 더 남았는데 계속 돌려야 하나요 말아야 하나요..

그리고 오늘 제대로 안돌아간거 같은데 굳이 안돌려도 되겠죠…? 도저히 안돌아가서요.

  • 1번 째 사진
4개의 답변이 있어요!
  • 안녕하세요. 김철진 치과의사입니다.

    악궁확장장치를 억지로 돌릴필요는 없습니다. 돌아가는대까지만 돌리시면될것같습니다.

  • 안녕하세요. 김지훈 치과의사입니다.

    안돌아가서 잇몸이 다칠 정도면 억지로 무리해서 돌리실 필요 없고 치과 가셔서 손 보시면 됩니다.

  • 안녕하세요. 최석민 치과의사입니다.

    치과를 내원해보시는 것을 추천드립니다 내부 구조가 파절돼서 안돌아가는 것일 수도 있고 다른 문제가 있는 것일 수도 있습니다

  • 안녕하세요. 송우식 치과의사입니다.

    억지로 돌리는 경우 오히려 잇몸 및 치아에 상처를 유발할수 있기에 더이상 돌아가지 않는 경우에는 무리해서 돌리지는 않길 권합니다.

    궁금증 해소에 도움이 되시길 바라며, 도움이 되신 경우 '👍 ' 눌러주길 부탁드립니다.