아하
  • 토픽

  • 스파링

  • 잉크

  • 미션


의료상담

지금도지조있는계란말이

지금도지조있는계란말이

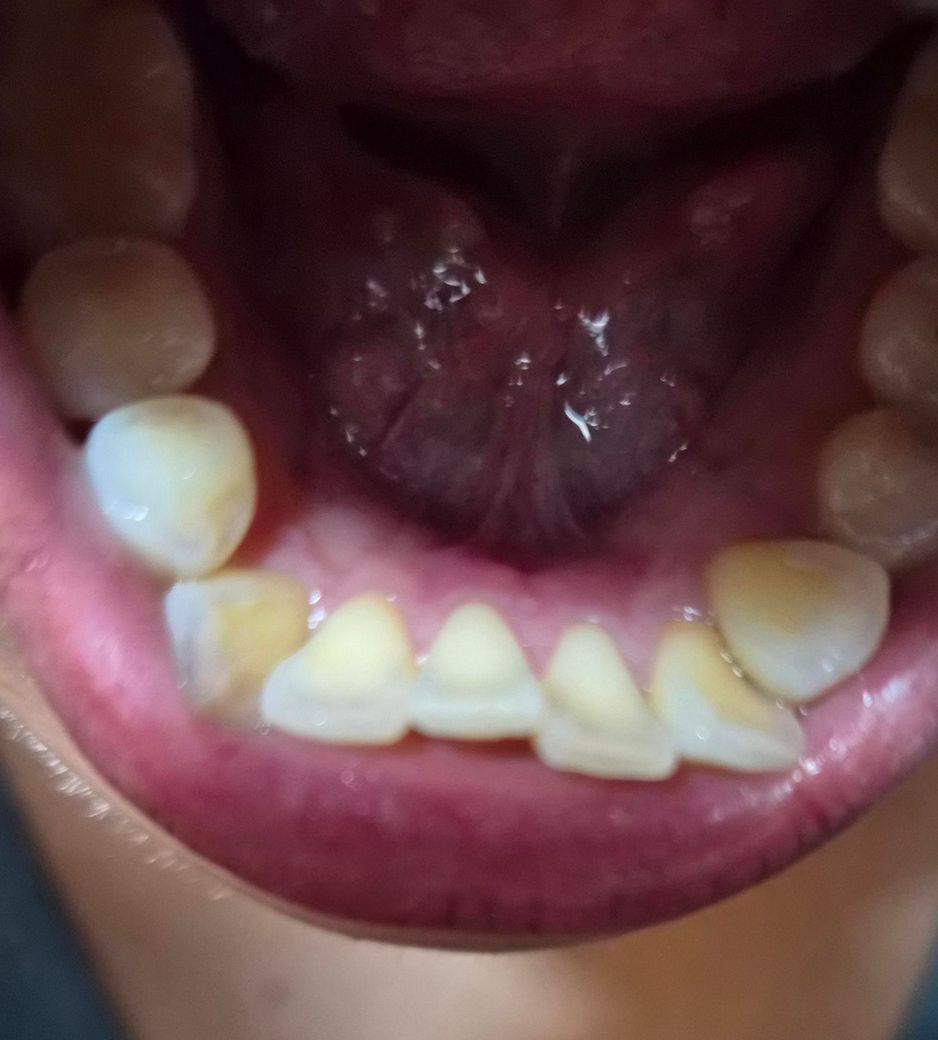
입안 아랫니 안쪽 잇몸에 흰점?뭘까요?

첨 발견한게 1년전쯤이고 크기는 계속 그대로입니다(눈꼽만한 크기?)

첨엔 상처?인가했는데 계속 그대로이고 통증은 전혀없어요.

혀로 만지면 약간 까슬한 느낌은 있구요 굳이 안만지면 아무느낌 없어요

답변부탁드립니다ㅜ

  • 1번 째 사진
  • 2번 째 사진

3개의 답변이 있어요!

  • 최석민 치과의사

    최석민 치과의사

    강원도 원주의료원

    안녕하세요. 최석민 치과의사입니다.

    1년이상 지속된 병소이나 커지거나 하지 않다면 일단 악성병소는 아닐 것 같습니다

    해당 부위에 주로 생기는 병소는 침샘과 관련된 염증, 부종입니다만 구강내과가서 조직검사를 해봐야 정확히 알 수 있습니다

  • 안녕하세요. 전택근 구강악안면외과 치과의사입니다.

    사진상으로는 명확히 보이지 않아 자세한 설명 어려움을 양해 부탁드립니다. 말씀하시는 점 등 같이 생각해봤을 때 작은 크기의 유두종같은 것이 생겼을 가능성 있습니다. 성상 변화 및 크기 변화 유무가 중요할 것 같으며 자세한 것은 구강악안면외과나 구강 내과 내원하셔서 검사 받아보시기를 권유드립니다.

    감사합니다.

  • 안녕하세요. 정진석 치과의사입니다

    구강 내 일시적으로 나타난 잇몸 반응일 가능성이 가장 높습니다. 하지만 해당 부위는 타액선이 있는 부위이므로 점액낭종을 비롯하여 여러가지 구강 내 연조직 질환과 감별 해볼 수도 있습니다. 물론 해당 위치에서 점액남종 등의 구강 내 연조직 질환일 가능성은 낮지만 정확한 판단을 위해서는 치과 방문 후 조직검사를 한 번 해봐야할 수도 있어 보입니다.