아하
  • 토픽

  • 스파링

  • 잉크

  • 미션


의료상담

내추럴한코알라44

내추럴한코알라44

22.11.17

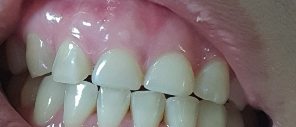
윗앞니 잇몸에 뭐가 났어요 아프진 않은데 혀로만지면 오돌도돌


요기 앞니 위에 동그랗고 하얗게 뭐가 나고

그 대각선 위에는 약간 까진듯한 모양

양치할때 부딪히거나 그런건 없었구요 저녁에 갑자기 혀로 만져보니 오돌도돌 하길래 거울보니 이렇게 ..

아프거나 하지는 않아요 이게 왜 이런걸까요 ㅡㅡ

  • 1번 째 사진

3개의 답변이 있어요!

  • 정진석 치과의사

    정진석 치과의사

    대학병원 통합치의학전문의

    22.11.18

    안녕하세요. 정진석 치과의사입니다.

    방사선 사진에 대한 자료가 필요해보입니다. 염증이 아닐 수도 있지만 해당 부위에 염증이 생겨서 잇몸을 뚫고 나오고 있을 수도 있어 보입니다. 보통 만성 염증이 있다면 sinus tract처럼 지금과 같은 상황이 나타날 수 있으나 단순히 구내염이나 구강 내 연조직 질환일 수 있으므로 치과 방문 후 감별 진단이 필요해보입니다.

    아무쪼록 저의 답변이 문제 해결에 작게 나마 도움이 될 수 있기를 기원드립니다. 항상 건강하고, 행복하세요^^

    정진석 치과의사 드림

  • 안녕하세요. 김철진 치과의사입니다.

    크게 이상이 잇어 보이진 않습니다. 잇몸이 자극을 받아서 약간 물집같은게 잡히신거 같은데 시간이 지나면 괜찮아 지실꺼에요.

  • 탈퇴한 사용자

    탈퇴한 사용자

    22.11.17

    안녕하세요. 장인아 치과위생사입니다.

    잇몸 염증은 면역력이 떨어질경우 치석이나 잇몸의 외상에 의해 생길수 있습니다.

    구강위생상태가 좋아지면 호전되는 경우가 많습니다.

    도움이 되기를 바랍니다. 건강하세요.