아하
  • 토픽

  • 스파링

  • 잉크

  • 미션


의료상담

말끔한천인조41

말끔한천인조41

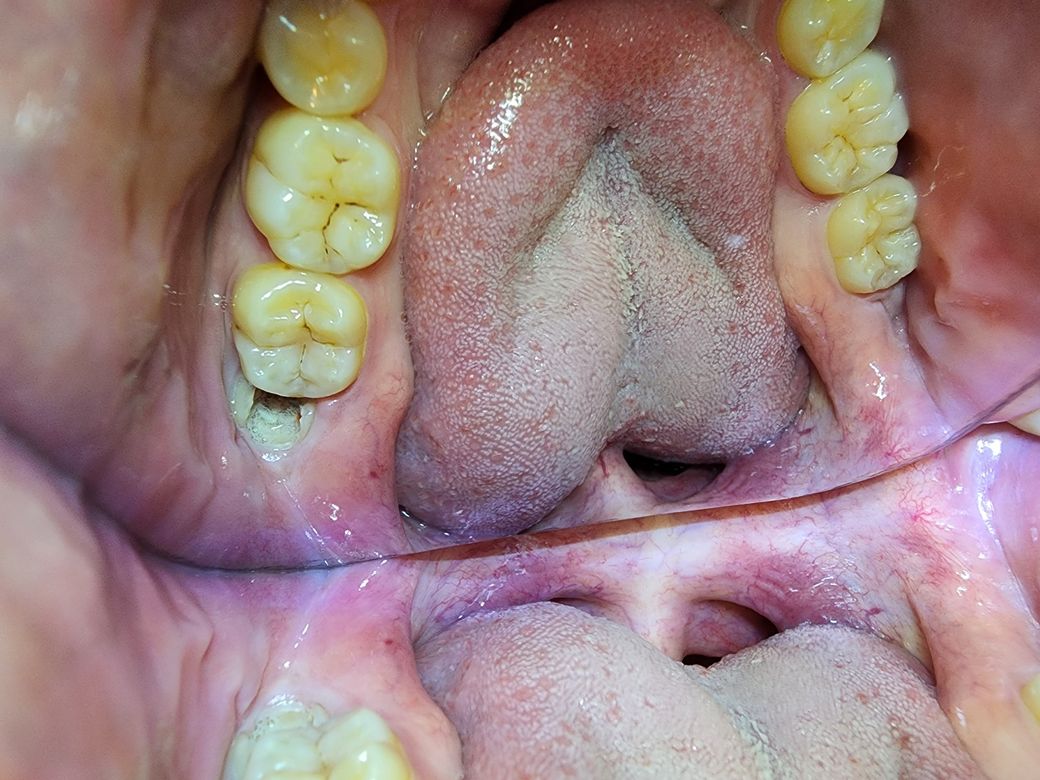
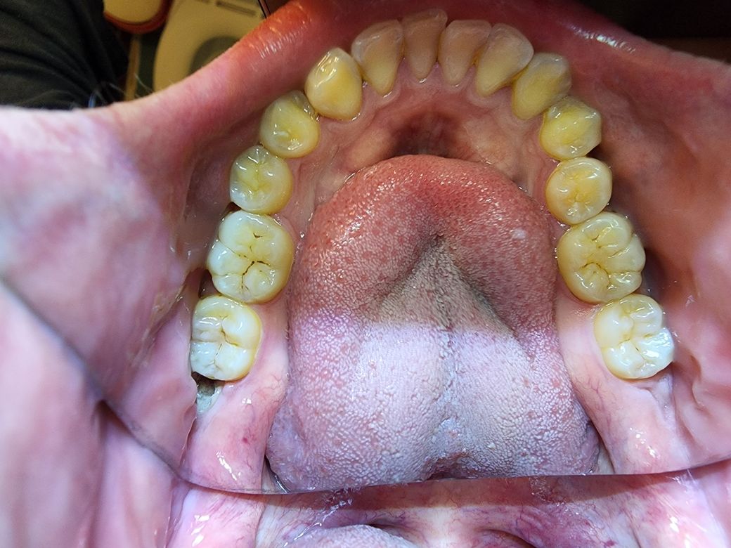
현재 치아 상태가 궁금합니다.

2015년 엑스레이 사진, 그리고 현재 2022년에 찍은 상악 1개 사진과 하악 2개 사진이에요.

2015년이면 20대 후반이고 지금은 30대네요..

현재 육안상으로 크게 문제가 있어보이는 곳이

- 상악에 송곳니? 근처에 썩은 이 하나.

이거는 제가 알기로는 저 어릴 때부터 안 뽑고 계속 가져왔던 것 같아요. 유치라고 하나요? 그래서인지 상악 치아 총 갯수가 홀수개에요.

- 하악에 사랑니

엑스레이로는 사랑니 둘 다 보여야하는데 막상 찍으니 사랑니 하나는 안 보이고 하나는 이미 썩어서 아주 그냥 치아에 호수가 형성되었네요..

그리고 전체적으로 입 안 깊이 갈수록 잘 안 보이는 치아일수록 상태가 안 좋은 것 같아요.

사랑니나 유치나 어릴 때 왜 안 뺐는지는 모르겠어요.

지금와서 부모님한테 물어보기에는 좀 그러네요 ㅠㅠ

지금 당장 통증은 없는데 시간 문제일것 같기도 하고..모르겠어요.

상악에 유치 빼버리면 간단해보이는데 이걸 빼고나면 빈공간으로 다른 치아들이 자리잡을 것 같더라구요. 그런데 교정 비용을 대충 인터넷 검색해보니 몇백만원 나오는것 같아 경제적으로 좀 부담될것 같아서 고민이 됩니다. 지금 당장 통증은 없으니 이대로 그냥 살아갈지 아니면 어쩔 수 없으니 발치 후 교정치료까지 받아야할지 아니면 발치만 하고 교정은 안해야할지요..

  • 1번 째 사진
  • 2번 째 사진
  • 3번 째 사진
  • 4번 째 사진

4개의 답변이 있어요!

  • 이정현 치과의사

    이정현 치과의사

    안녕하세요. 이정현 치과의사입니다.

    현재 20번대 송곳니 뒤쪽으로 유치 송곳니가 남은것으로 보입니다. 해당치아가 충치가 심해서, 발치해야할 가능성이 높습니다.

    만약 살릴 수 있다면, 신경치료, 포스트를 하여 살리는게 좋을 것으로 보입니다. 현재 치아가 한개 더 많은데, 이 상태로 치열이 배열되었기 때문에, 만약 이 치아를 발치한다면 교정을 하거나 임플란트를 해야하기 때문입니다.

    사랑니는 충치가 심하여 발치가 필요해보입니다. 치과에서 검사를 받아보시기 바랍니다. 감사합니다.

  • 안녕하세요. 김철진 치과의사/경제·금융전문가입니다.

    상악에 썩어잇는 치아는 빼시고 임플란트를 하셔야될것같습니다. 저거 하나 빼고 교정하시는것보다는 빼고 임플란트를 하시거나 브릿지를 하시는게 더 좋을것같습니다. 그리고 사랑니는 썩어 잇으신거 같으니 발치를 하시는게 좋을것같아요.

  • 안녕하세요. 안상우 치과의사/경제·금융전문가입니다.

    왼쪽위에 4번째 치아는 충치가 많이 진행되어 신경이 노출된 상태이기 때문에 긴경치료를 동반한 보철치료가 필요합니다 .

    그외에는 큰 충치는 없으나 작은 충치들은 간단한 치료가 가능할것으로 생각됩니다.

    정확한 확인을 위하여 치과에서 자세한 진료를 받아보시길 권장 드립니다.

  • 안녕하세요. 정진석 치과의사입니다.

    사랑니만 발치하시길 바랍니다. 물론 유치 자체가 상태가 좋아 보이지 않아 치료를 할 수 있는 상태가 아닌 발치를 해야할 수 있어 보입니다. 하지만 현재 사진에서 사랑니는 빼셔야 할 것으로 보이며 계속해서 방치시 어금니까지 영향을 주어 어금니까지 손상시킬 수 있어 보입니다. 유치의 경우에는 통증이나 불편감이 없다면 쓸때까지 쓰고 치료하시는 것이 좋아 봉비니다.

    아무쪼록 저의 답변이 문제 해결에 작게 나마 도움이 될 수 있기를 기원드립니다. 항상 건강하고, 행복하세요^^

    정진석 치과의사 드림