아하
  • 토픽

  • 스파링

  • 잉크

  • 미션


의료상담

기막히게흥미진진한살구나무

기막히게흥미진진한살구나무

24.07.09

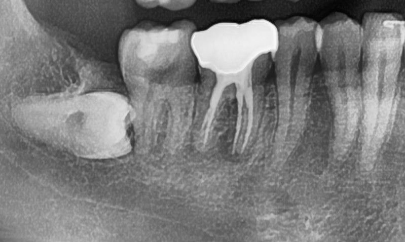
10년된 금니 크라운 교체 해야될까요?

10년된 금니 크라운 . 잇몸이 내려가서 치아가 보이는 상태고.

이전의 상태를 알아야 된다고해서 재질문 드립니다.

첫번째 사진은 21년도에 찍은 사진이고

두번째 사진은 24년도에 찍은 사진입니다.

두번째 24년도 사진은 파노라마 엑스레이라고 적혀있는데

첫번째 사진은 모르겠습니다. 색감이 좀 다르고 각도도 달라서 금니가 두께가

달라보여요.

크라운 교체를 해야되는게 맞는건가요? 아니면 조금 더 지켜보고

엑스레이를 다시 찍어본 다음에 판단해야되나요?

24년도에 찍은 사진은 일주일 전에 찍은 사진인데요 선생님께서

뾰루지가 생기면 오시라고 하시더라구요. 뾰루지가 생긴다는건 속에 고름이 찬다는건데

고름이 차면 뼈가 녹고 .. 발치 해야되는거 아닌가요? 그게 제일 걱정입니다.

그래서 열어봐야하는게 맞는지..선생님들의 여러 의견을 듣고싶습니다.

그리고 열었을때 제가 부담해야되는 위험은 어느정도인가요? 열게되면 기존에 넣어두었던

신경재료를 바꿔야되잖아요? 그게 어려운건가요? 재신경치료가 어렵다고하는데

10년동안 전혀 문제가 없었어서 재료만 바꾸면 될거같은데..멀쩡한거 괜히 열었다가

문제가 될수도 있나요?

  • 1번 째 사진
  • 2번 째 사진

4개의 답변이 있어요!

  • 안상우 치과의사

    안상우 치과의사

    목동안치과의원

    24.07.10

    안녕하세요. 안상우 치과의사입니다.

    방사선 사진상으로 볼때 치근단에 염증이 있어 보입니다.

    치근단에 염증은 보통 신경관 내부에 감염이 생겼을 때 생기게 됩니다 이런 경우에 따라서는 재신경치료가 필요할 수 있으며 제 신경치료를 하는 경우 보철을 새로 제작해야 할 수 있습니다

  • 안녕하세요. 김지훈 치과의사입니다.

    개인적으로는 조금 더 지켜볼 것 같습니다. 혹시라도 뾰루지든 붓는 증상이든 문제가 보이면 바로 치과 가시면 됩니다.

  • 안녕하세요. 김철진 치과의사입니다.

    치아 뿌리에 염증이 생기셧어도 특별한 증상이 없다면 치료를 안하셔도 크게 문제가 되진 않습니다. 크라운이 오래되서치아가 많이 노출된상태라면 크라운 교체만 하시면될것같습니다.

  • 안녕하세요. 최석민 치과의사입니다.

    1. 전, 후 사진을 비교해봤을 때 뿌리끝 염증이 심해지거나 한 것은 아닌 것 같습니다. 신경치료 이전부터 염증이 잡혀 있었고 그게 커지지도 않고 작아지지도 않은 상태입니다.

    2. 다만, 크라운 부위 하방 충치는 의심됩니다.

    3. 시리거나 불편한 증상이 있다면 크라운 뜯고 재평가해봐야 하고, 특히 가만히 있을때 아프거나, 씹을때 아프거나 말씀하신 것처럼 농양이 잡혀 나온다면 염증이 문제를 일으키고 있는 것이므로 재신경치료 가능성도 있습니다 .