아하
  • 토픽

  • 스파링

  • 잉크

  • 미션


의료상담

제일절제하는갈색곰

제일절제하는갈색곰

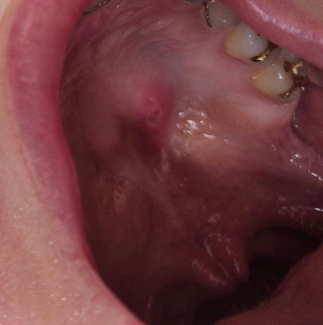
입천장에 돌기가 났는데 단순 구내염일까요?

성별

여성

나이대

31

기저질환

없음

복용중인 약

기침가래약

지난 주말부터 밥먹는게 불편해서 만져보니 입천장에 뾰루지같은게 나고 주변이 부어있어요. 지금 코감기가 심하게 걸려 입으로 숨을 쉬고 있느라 더 자극이 되고 있는데...괜히 신경쓰이고 불안하네요 ... 단순 구내염일까요?

  • 1번 째 사진

1개의 답변이 있어요!

  • 김수비 의사

    김수비 의사

    QUB

    안녕하세요. 김수비 의사입니다.

    사진으로는 정확한 진단 불가능하며 병원 방문하셔서 직접 육안으로 진료 보셔야 합니다

    병변이 잘 안보여요

    입천장에 돌기나 뾰루지 같은 것이 생기고 부어있는 상태는 구내염일 가능성이 있습니다. 구내염은 일반적으로 입안의 점막에 생기는 염증으로, 감기나 스트레스, 음식 자극 등으로 인해 발생할 수 있죠. 특히 감기나 호흡기 증상이 있을 때 입으로 숨을 쉬거나 자주 입을 뜯는 경우 입안이 자극받아 구내염이 생기기도 합니다

    하지만 만약 그 돌기나 부위가 계속해서 악화되거나, 통증이 심해지거나, 1주일 이상 지속된다면, 기타 질환(구강 내 양성 혹은 악성 종양, 혹은 다른 염증성 질환)을 의심해볼 필요도 있습니다.

    불안한 마음을 해소하기 위해서는 가까운 병원에서 구강 전문의나 이비인후과를 방문해 정확한 진단을 받는 것이 좋습니다. 그래야 더욱 안전하고 확실한 치료를 받을 수 있습니다.