아하
  • 토픽

  • 스파링

  • 잉크

  • 미션


의료상담

심신한 프루도

심신한 프루도

윗 어금니 크라운 어떤걸로 하는게 좋을까요?

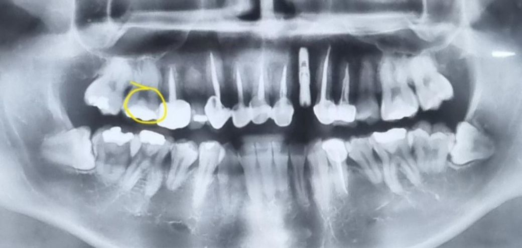
저부분이 아말감인데 오래되서 10년이상되었습니다

통증은 없는데 아말감이 사이사이 금가서 치료해야한다고 말씀해주셨습니다

범위가 커서 인레이,레진은 안되고 바로 크라운 해야한다고 말씀하셨는데 자르코니아 vs 크라운 어떤걸 하는게 좋을지 추천 부탁드립니다!

  • 1번 째 사진

3개의 답변이 있어요!

  • 김철진 치과의사

    김철진 치과의사

    가까운우리치과

    안녕하세요. 김철진 치과의사입니다.

    요즘은 치아색나는 지르코니아를 많이 합니다. 예전에는 금으로 많이 햇지만 요세 금값이 많이 올라서 가격도 굉장히 비싸서 지르코니아를 하시는걸 추천드립니다.

  • 안녕하세요. 최석민 치과의사입니다.

    크라운 재료의 종류의 차이입니다. 어금니는 주로 지르코니아, 금을 하게 되는데 각기 장점이 있습니다.

    지르코니아는 금보다는 치아색상에 가까우나 치아 삭제량이 다소 많습니다.

    금은 메탈색상이어서 비심미적이지만 치아 삭제량이 상대적으로 적고, 생체적합성이 뛰어납니다.

  • 안녕하세요. 송우식 치과의사입니다.

    지르코니아 크라운은 자연 치아와 유사한 색상으로 외관이 매우 자연스럽고 눈에 띄지 않고, 내구성이 뛰어납니다. 자르코니아 크라운은 다른 종류의 크라운보다 가격이 더 비싸고 제작시간이 더 걸릴수 있습니다.

    비용적이 부분이 괜찮으면 지르코니아를 권장드립니다.

    만족스러운 답변되셨으면 합니다.

    <평가> 감사합니다.