아하
  • 토픽

  • 스파링

  • 잉크

  • 미션


의료상담

비상하는 올빼미862

비상하는 올빼미862

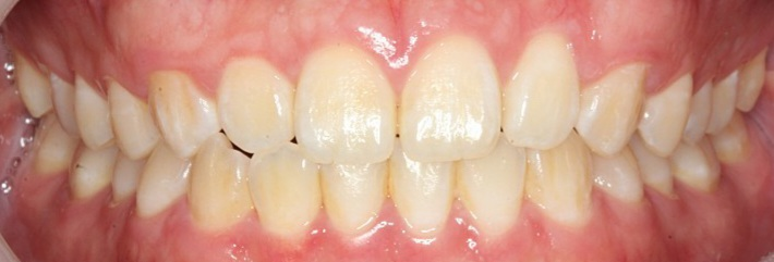
치아중심선질문이 있습니다!!!

아랫치아가 전체적으로 왼쪽으로 2mm 이동해있는데

교정과에서 약간의 비대칭으로 인해 이 이상은 중심선도 맞추기 힘들다고 하시는데 이런경우가 흔한가요?


이러면 교합도 2mm틀어지는거니 문제 있는거 아닌가요?





  • 1번 째 사진

3개의 답변이 있어요!

  • 정진석 치과의사

    정진석 치과의사

    대학병원 통합치의학전문의

    안녕하세요. 정진석 치과의사입니다.

    대부분 사람들은 중심선이 완전히 일치하지 않습니다. 중심선이 틀어지더라도 교합에 큰 문제가 없다면 상관이 없습니다. 또한 말씀하신 1~2mm 정도 차이가 나는 것은 정상적인 범주에 해당합니다. 특별히 턱관절 질환이 있거나 교합에 불편감이 없다면 이대로 교정을 마무리 해도 무방합니다.

    아무쪼록 저의 답변이 문제 해결에 작게 나마 도움이 될 수 있기를 기원드립니다. 항상 건강하고, 행복하세요^^

    정진석 치과의사 드림

  • 안녕하세요. 안상우 치과의사/경제·금융전문가입니다.

    교정을 하면서 중심선이 안맞는경우도 있습니다.

    교합이 안정적으로 형성되어 있다면 중심선이 조금 안맞는것은 크게 문제를 발생시키지 않습니다.

  • 안녕하세요. 김철진 치과의사/경제·금융전문가입니다.

    중심선이 약간 틀어진거 같긴하지만, 처음 상태가 어떤상태인지를 모르겠지만, 이부분은 교정치과와 다시 상담을 해보셔야될것같습니다.