아핫뉴스실시간 인기검색어
아핫뉴스 화산 이미지
화산 아이콘 11
이해찬 별세, 애도 이어져
아하

의료상담

치과

탈퇴한 사용자
탈퇴한 사용자

치아 교정중 뿌리가 휘었는데 괜찮은걸까요?

안녕하세요!


치아 교정 2년차고 오늘 제 요청으로 엑스레이를 찍었습니다




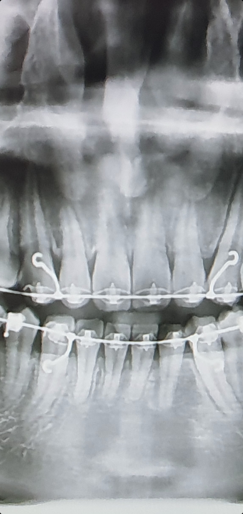
교정 후 사진입니다.




교정 전 사진입니다!

아래쪽 앞니가 특히 많이 휘었는데 교정치과에서는 괜찮다고 계속 진행해도 된다고 하네요.


이게 정상이 맞나요?

  • 1번 째 사진
  • 2번 째 사진
1개의 답변이 있어요!
  • 안녕하세요. 김철진 치과의사입니다.

    교정을 한다고 뿌리가 휘거나 그렇진 않습니다. 사진상 약간의 오류처럼 보입니다. 크게 문제가 잇어 보이진 않습니다.