아하
  • 토픽

  • 스파링

  • 잉크

  • 미션


의료상담

치과의사님 도와주세요

치과의사님 도와주세요

22.11.18

사랑니 발치하고 난 후 이게 피떡이 점점 사라져요

성별

남성

나이대

32

기저질환

없음

복용중인 약

진통제

발치하고 최대한 오래 물고 있으라고 해서

4시간동안 묵언수행한다음에 빼서 빨간 피떡같은게 꽉 차있었는데

날이 갈수록 점점 사라져요

전 술 입에도 안대고

발치하고 나서는 담배도 일절 안폈습니다.

통증은 입병걸렸을때 처럼 비슷한 통증이 있습니다.

병원가봐야 할까요?

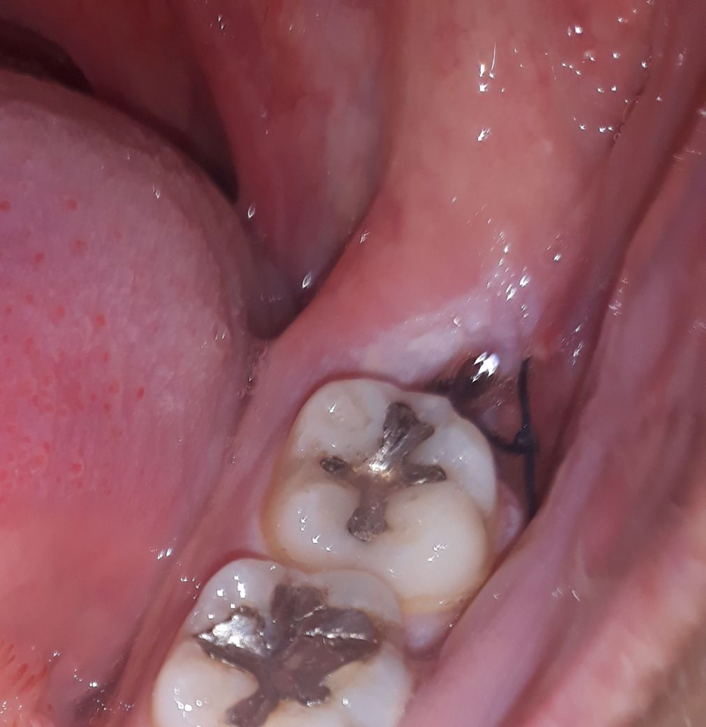
  • 1번 째 사진

2개의 답변이 있어요!

  • 옥영빈 의사

    옥영빈 의사

    홍성의료원

    22.11.19

    사랑니를 발치한 후 지혈을 하고 생긴 피떡이 계속 유지될 필요는 없습니다. 자연스럽게 소실되어야 하며 올리신 사진으로 정확한 상태를 알 수 없지만 크게 문제될 것은 없어 보입니다.

  • 안녕하세요. 강성주 의사입니다.

    피떡의 경우 자연스럽게 제거가 되어가는 과정이며, 점차 안에서 살이 차오르면서 빈 공간은 매워질 수 있습니다. 통증지속시 치과에 재내원하여 주시고, 그동안 가글을 꾸준히 하시어 염증방지를 하시는 것이 좋겠습니다.

    감사합니다.