아하
  • 토픽

  • 스파링

  • 잉크

  • 미션


의료상담

탈퇴한 사용자

탈퇴한 사용자

23.02.07

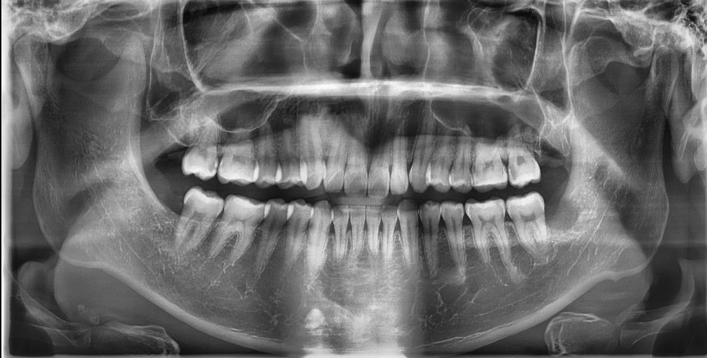
오른쪽 아래 어금니 치료 여부 질문입니다.

안녕하세요.

오른쪽 아래 어금니가 전에 발치했던 매복 사랑니 때문에 충치가 생겼고 깊다고 합니다.

방문 했던 다섯 치과 중 네 곳은 크라운 치료 및 신경치료까지 갈 수 있다고 하는데

한 치과는 사랑니 발치 후 잇몸이 어금니 충치를 덮었기 때문에 충치가 더 이상 진행이 안될 것 같아서 지금은 치료가 필요 없다고 하는데 어떤 치과에서 치료를 받아야 할까요?

통증은 전혀 없습니다.

다섯 곳 모두 과잉진료는 하지 않는다고 확신합니다.

  • 1번 째 사진

1개의 답변이 있어요!

  • 김철진 치과의사

    김철진 치과의사

    가까운우리치과

    23.02.08

    안녕하세요. 김철진 치과의사입니다.

    모두 맞는 의견같습니다.

    1. 증상이 없으니 지켜보자. 썩어 잇는 부분은 굉장히 안좋은 부위에 충치가 잇습니다. 증상이 나타나면 발치를 해야될 가능성도 잇습니다

    2. 증상이 없으니 신경치료해서 살려보자 하지만 발치 가능성은 잇습니다.

    저라면 신경치료를 해서 크라운치료를 할것같습니다.