아하
  • 토픽

  • 스파링

  • 잉크

  • 미션


의료상담

아마도경이로운설탕

아마도경이로운설탕

25.04.01

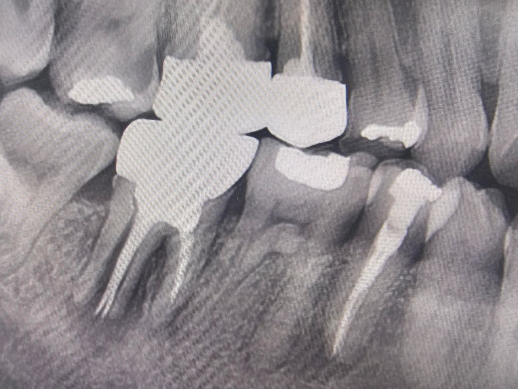
이 치아 꼭 임플란트 해야 하는건가요??

오른쪽 어금니인데 치아 뿌리가 x-ray상 저렇게 나오는데치과에서는 임플란트 해야 한다고 하네요. 통증은 아예 없는데, 그냥 쓰면 안되고 꼭 임플란트 해야 하는건가요?

치료 비용도 그렇지만 쌩니 뽑는거 같아서요 T.T

  • 1번 째 사진
  • 2번 째 사진

5개의 답변이 있어요!

  • 김철진 치과의사

    김철진 치과의사

    가까운우리치과

    25.04.02

    안녕하세요. 김철진 치과의사입니다.

    사진상에 보이는 치아는 치아가 수직으로 깨진거 같습니다 .발치를 하시고 나서 임플란트를 하시는게 좋을것같습니다.

  • 안녕하세요. 안상우 치과의사입니다.

    사진으로는 치아의 뿌리가 부러진것으로 보입니다. 치아의 뿌리가 부러진 경우에는 치아를 발치 해야 합니다

    발치한 후에는 해당부위에 보철수복을 위해서 임플란트를 하는것이 좋을수 있습니다.

  • 안녕하세요. 송우식 치과의사입니다.

    생니 아니고 치아뿌리 주위에 염증이 많이 진행되어 있어 지금도 뼈가 녹아있는 상태입니다. 두면 점점 더 뼈가 녹아 없어지기 때문에 가능한 빨리 치아를 뽑아 주어야 합니다. 임플란트는 그 다음 문제입니다.

  • 안녕하세요. 최석민 치과의사입니다.

    엑스레이상 치아뿌리 하방 잇몸뼈로 염증은 있는 상태입니다 그냥 둘 경우 잇몸뼈가 점차 녹을 수 있습니다 발치를 원치 않는다면 치근단절제술 등을 고려해볼 수 있습니다

  • 안녕하세요. 김지훈 치과의사입니다.

    사진 상에 보이는 치아는 수명이 다 한 것으로 보이며 임플란트 외에 다른 치료방법은 힘든 것 같습니다.