의료상담
요즘 갑자기 담배를 많이 펴서 인지는 모르겠는데 구강 암이 생긴거 같아요
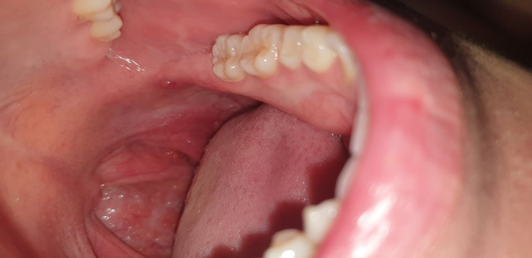
옛날부터 있었던거 같기는 한데 요즘 따라 갑자기 확 느껴지네요 사진 첨부해놓을게요 빤간색 점 같이 생긴건데 생각보다 큽니다 저거를 터트리려고 살짝씩 긁어봤는데 부어 오르면서 피부 엄청 긁으면 피 비슷하게 빨간점 같은거 생기잖아요 그런게 생기네요 저게 뭔지 알려주세요
55글자 더 채워주세요.
2개의 답변이 있어요!
안녕하세요? 아하(Aha) 의료 분야 지식답변자 이정현 의사입니다.
질문하신 내용에 대하여 아래와 같이 답변 드립니다.사진에서 어디부분을 가리키시는 건지는 잘 모르겟지만, 아마도 아래맨끝에있는 치아에서 사진상으로 왼쪽으로 1.5~2센치정도 떨어진곳에 있는 조그맣고 동그란 볼록한 빨간것을 가리키는 것 같습니다.
사진으로만 볼때는 구강암은 아니고 단순 물집(혈종)으로 보입니다.
턱뼈속의 염증이 바깥으로 나올때 생기는 누공일 수 도 있으나, 가능성은 낮아보입니다.
흡연은 구강암과 치주염의 주요 원인중 하나이기 때문에 흡연량을 줄이시는게 좋습니다.
우선 정확한 진단을 위해선 방사선사진과 임상검사가 필요하기 때문에 주위 치과로 내원해보시기 바랍니다. 감사합니다.
안녕하세요? 아하(Aha) 의료 분야 지식답변자 김선익 의사입니다.
질문하신 내용에 대하여 아래와 같이 답변 드립니다.사진상으로는 정확한 진료가 불가합니다.
대학병원급 이비인후과 두경부외과에 내원하셔서 직접 진료를 보시고 필요할시 CT검사나 조직검사가 필요해보입니다.
진료 잘 보시기 바랍니다.
감사합니다.

