의료상담
55글자 더 채워주세요.
1개의 답변이 있어요!
안녕하세요. 채홍석 의사입니다.
석회화가 맞습니다
MRI 사진에서도 석회화가 보이기는 하지만 CT에서만큼 분명하게 보이지는 않습니다
아래 영상은 다른 자료에서 가지고 온 것인데 CT에서 훨씬 잘 보이는 것을 확인할 수 있습니다
추천 좋아요 부탁드립니다.


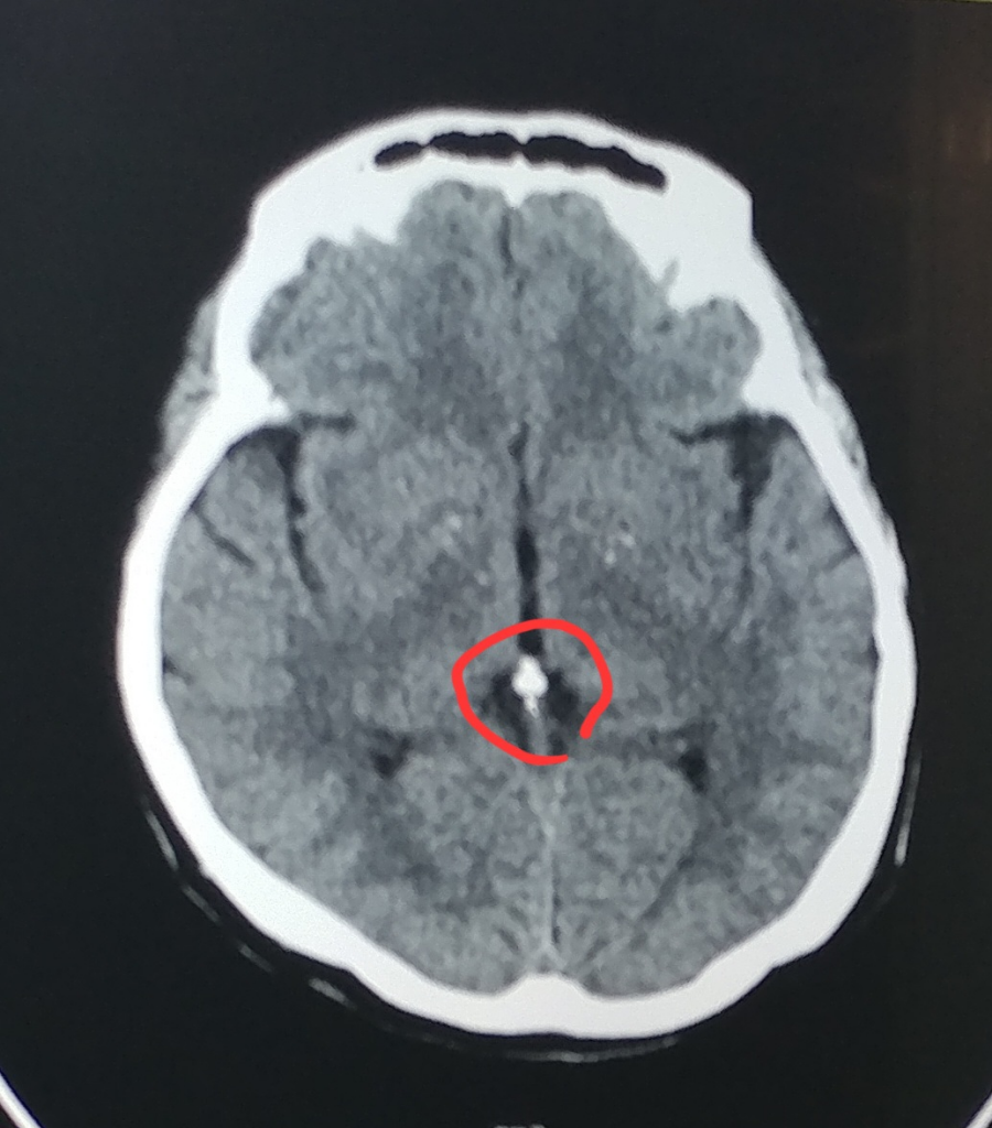
안녕하세요. 채홍석 의사입니다.
석회화가 맞습니다
MRI 사진에서도 석회화가 보이기는 하지만 CT에서만큼 분명하게 보이지는 않습니다
아래 영상은 다른 자료에서 가지고 온 것인데 CT에서 훨씬 잘 보이는 것을 확인할 수 있습니다
추천 좋아요 부탁드립니다.