아하
  • 토픽

  • 스파링

  • 잉크

  • 미션


의료상담

성숙한줄나비74

성숙한줄나비74

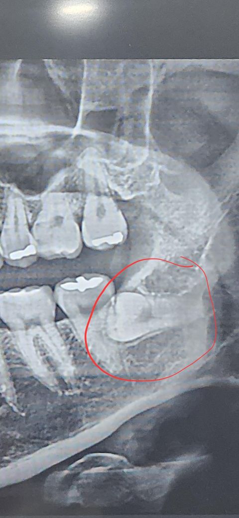
왼쪽 아래사랑니를 뽑았는데 통증이 지속되네요

안녕하세요

지난주 금요일날 사랑니를 뽑았는데 아직도 너무 아프네요 이에서 쉰내도 나고 저리는데

이 이를 뽑았는데 그렇게 난이도가 있는 이인가요?

통증이 얼마나 지속될까요?

항생제랑 진통제를 5일 처방 받아서 먹었었는데

좀더장기복용도 가능할까요?

  • 1번 째 사진

2개의 답변이 있어요!

  • 김지훈 치과의사

    김지훈 치과의사

    메가

    안녕하세요. 김지훈 치과의사입니다.

    난이도는 상당히 높은 치아입니다. 통증은 2주 정도는 지속될 수 있으며 더 복용도 됩니다.

  • 안녕하세요. 김철진 치과의사입니다.

    저정도 매복사랑니라면 잇몸도 크게 절개를 햇고 뼈삭제도 많이 햇을것같습니다. 2주 정도는 일단 지켜보셔야될것같습니다.