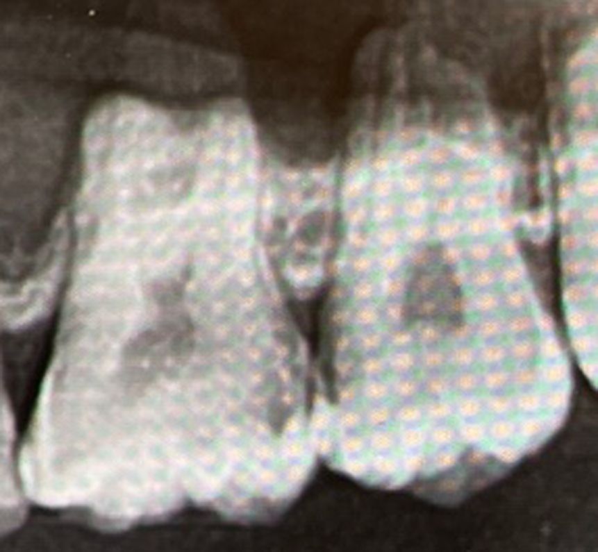
사진좀 봐주세요. 혹시 신경치료 해야되나요?
조금 사진 보시기가 힘들수도 있긴 한데...제가 직접 폰 핸드폰으로 허락받고 찍어온거라서요...
제가 치아가 약하다는걸 지금 알았습니다.
현재 3곳 신경치료 진행하였으며, 위의 사진위치는 16, 17번 어금니입니다.
통증도 전혀없고 시리거나 하는 증상도 없습니다.
하지만 치경으로 보았을때 속에서 검은색이 비쳐보이는것을 보고는 충치인것을 확인해
찍은 사진인데 많이 심하게 썩었네요...혹시 신경치료 해야될까요? ㅜㅜ
안녕하세요. 정진석 치과의사입니다.
보이는 부위의 충치가 심합니다. 사진 상으로는 신경까지 근접하지 않은 것처럼 보일 수 있지만 3차원적으로 고려했을 때 충치 제거 과정에서 치수가 노출될 가능성이 큽니다. 또한 치수가 노출되지 않더라도 너무 가까워서 그대로 치료하게 되면 시린 증상 등이 나타날 수 있어 신경치료를 할 가능성이 매우 높습니다. 물론 치료를 들어가봐야 정확한 것은 판단할 수 있습니다.
아무쪼록 저의 답변이 문제 해결에 작게 나마 도움이 될 수 있기를 기원드립니다. 항상 건강하고, 행복하세요^^
정진석 치과의사 드림
안녕하세요. 안상우 치과의사/경제·금융전문가입니다.
사진으로 봤을 경우에 인접면에 충치가 많이 진행되어 있는것으로 보입니다.
충치의 범위는 사진으로 보이는것보다 크게 있는 경우가 많기 때문에 충치를 제거하다가 신경이 노출된다면 신경치료가 필요할수 있습니다.
자세한 확인을 위해서 치과병원에서 검사를 받아 보시기를 권유드립니다.
안녕하세요. 김철진 치과의사/경제·금융전문가입니다.
치아 사이가 많이 썩으신거 같아 보이네요. 범위는 넓지 않지만 썩은 부위가 좋지 않아서 신경치료 가능성이 있어 보입니다.

