아하
  • 토픽

  • 스파링

  • 잉크

  • 미션


의료상담

굉장한족제비40

굉장한족제비40

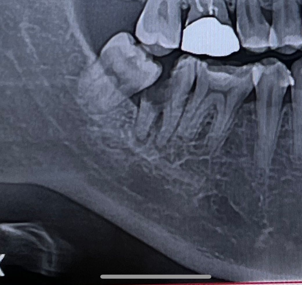
치과 충치때문에 왔는데 뿌리를 못살릴까요?

이가 썩어도 너무 썩었습니다 무조건적인 발치는 피하고 싶어요.. 뿌리를 살리지 못하는 경우인가요??

아래 어금니입니다 ㅠㅠㅠ

  • 1번 째 사진

5개의 답변이 있어요!

  • 송우식 치과의사

    송우식 치과의사

    솔플란트치과 경기도 성남시 모란역

    안녕하세요. 송우식 치과의사입니다.

    현재 뿌리까지 손상이 온것으로 보이기에 이 경우에는 발치후에 임플란트 치료가 필요로 됩니다.

    궁금증 해소에 도움이 되시길 바라며, 도움이 되신 경우 평가 별점 5개 ★★★★★ 부탁드립니다.

  • 안녕하세요. 안상우 치과의사입니다.

    충치가 잇몸뼈 아래까지 위치하고 있으면 해당 부위가 건조되지 않기 때문에 치과 재료로 충전을 하기 힘들 수 있습니다. 사진으로 봤을 경우 뿌리 쪽으로 깊게 내려가 있는 충치가 예상됩니다.

    사랑니를 발치한 후 해당 부위가 건조시킬 수 있다면 치료를 할 수 있을 것으로 생각되나 그러지 못한다면 발치를 해야 할 수 있습니다. 자세한 확인을 위해서 치과에서 진료를 받아 받아보세요.

  • 안녕하세요. 김철진 치과의사입니다.

    사진상으로 보면 충치가 너무 심하게 진행되서 발치를 하셔야될것같습니다. 뿌리를 남겨 놓는건 큰 의미가 없습니다.

  • 안녕하세요. 김지훈 치과의사입니다.

    웬만하면 치아를 살리고 싶겠지만 해당 사진으로 봐서는 대부분의 치과에서 임플란트를 권할겁니다.

  • 안녕하세요. 최석민 치과의사입니다.

    사랑니 옆 두번째 어금니는 충치가 너무 심해서 발치가 불가피할 것 같습니다 한가지 방법은 어금니, 사랑니를 빼고 사랑니를 옆으로 심어 이식하는 것입니다