8세아동 발가락 골절수술 해야할까요?
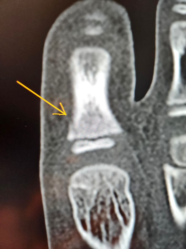
첫번째 사진은 엑스레이
두번째 세번째는 ct입니다
8세남아 맨바닥에서 축구하다가 땅을 찼어요ㅠ
수술하자하는데 제가 일주일만 경과보고프다해서 일단 통깁스만했는데ㅠ
핀 수술이 필요할까요?ㅠ
안녕하세요. 김덕현 물리치료사입니다.
일단 통깁스를 했다면 조금더 지켜보는것도 방법입니다! 나이도 어리고 수술보다는 자연치유되는걸 기대해보는 목적으로 기다려보시는게 좋을듯 싶습니다!
집에서는 차가운찜질이라도 적용해보시고 심장보다 높에 다리밑에 베개를 두는 방식으로 해주시면 조금더 효과적일수 있습니다!
애기가 통증이 너무심하다면 가까운병원에서 소염진통제만 처방받아서 먹어도 될듯싶네요!
빨리몸이나아지기를 바라겠습니다
1명 평가안녕하세요. 김현태 물리치료사입니다.
우선, 석고고정을 한 상태이니 경과를 지켜보시는 것이 좋겠습니다. 어린 아이의 경우 골절의 유합이 잘 되는 경우가 많기 때문에 당분간은 안정을 취하며 경과를 확인한 이후에 수술에 대한 결정을 하시는 것도 늦지는 않겠습니다. 바로누워있을 때 다리부분에 배게를 받쳐 편안한 상태에서 휴식을 취할 수 있도록 해주시면 좋겠습니다.
1명 평가안녕하세요. 이창우 물리치료사입니다.
아이들은 보통 회복속도가, 빠른편이다보니 지켜보는 경우가 많습니다.
1주일이 지났음에도 회복이 진전되지 않는다면 수술을 하는것으로 추정됩니다.
환자분의 건강을 위해 최선을 다하겠습니다.
긴 글 읽어주셔서 감사합니다.
1명 평가안녕하세요. 송진영 물리치료사입니다.
아동의 경우 뼈 성장판에 영향을 줄 수 있는 부상이 있을 수 있습니다. 통깁스를 한 후 일주일 정도 경과를 지켜보는 것은 좋은 접근입니다. 그러나 통증이 지속되거나 상태가 악화된다면, 수술적 치료가 필요할 수 있습니다.
전문의와 상담하여 최선의 치료 방법을 결정하는 것이 중요합니다!

