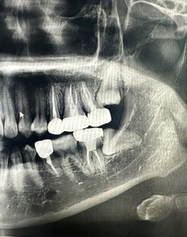
왼쪽 상단 사랑니로 어금니 대체 가능할까요?
현재 왼쪽 가장 안쪽 어금니 (상단) 는 신경 치료 후 크라운을 씌워놓은 상태이고, 사랑니가 그 위에서 자라고 있는 중입니다. (작년 하반기 사진이며, 현재는 조금 더 곧게 내려왔고 크기도 큰 것 같습니다 사진이 없네요 ㅠ)
자라면서 닿아있는 어금니의 신경을 누르는 건지 통증이 심해서 치과에 방문했는데,
사랑니 발치 또는 신경치료 한 어금니 (가장 안쪽) 발치를 추천해주시더라구요.
자연치아 보존이 좋다는 건 알고 있는데 기존 사용하던 어금니를 발치하려니 겁이 납니다 ㅠㅠ
어금니를 발치해버리면 그 자리가 빌 텐데 아래 어금니와 반절 정도 맞닿아 있던 게 사라지니까 튀어나오진 않을지..!
사랑니가 어금니 자리로 안착할 수 있을지도 의문이구요...
사랑니 발치를 추천하시나요 아님 신경치료 끝난 치아를 발치하는 것을 추천하시나요??
안녕하세요. 오유진 치과의사입니다.
사랑니가 맹출하면서 염증이 생겨서 그럴수도 있고 신경치료한 치아의 뿌리쪽이 문제가 생겨서 그럴수도 있어 보입니다. 사랑니는 맹출 방향으로 봐선 발치를 추천드립니다. 발치후 그래도 문제가 해결되지 않으면 신경치료한 치아를 재신경치료(가능시)등을 통해 최대한 보존하는 쪽으로 상담받으시는것을 추천드립니다.
안녕하세요. 최석민 치과의사입니다.
현재 상태에 대한 엑스레이를 찍어봐야겠지만, 두번째 큰 어금니가 문제가 생겨서 통증이 유발된다면 그건 빼야할 확률이 높고요.
사랑니는 상태에 따라 다른데 치아이식술이 가능할지는 온전히 사랑니 발치가 가능할지에 달려있습니다. 빼면서 손상이 있을 경우 쓰기 어렵습니다.
제가보기엔 두번째 큰 어금니, 사랑니 둘다 빼야 할 상황으로 보입니다.
다만, 위 맞닿는 어금니가 없더라도 말씀하신 것처럼 위쪽 첫번째 큰 어금니와 아래 어금니 반절이 맞물리니 아래 어금니가 정출되거나 하진 않습니다.
안녕하세요. 김철진 치과의사입니다.
사진에 보이는 사랑니는 특별한 이유가 없다면 발치를 하실필요는 없을것같습니다. 만약 사랑니 앞치아를 발치하고 사랑니를 교정적으로 당기면 대체는 가능할것같긴하지만 추천드리는 치료는 아닙니다.

