아하
  • 토픽

  • 스파링

  • 잉크

  • 미션


의료상담

다소믿을만한보쌈

다소믿을만한보쌈

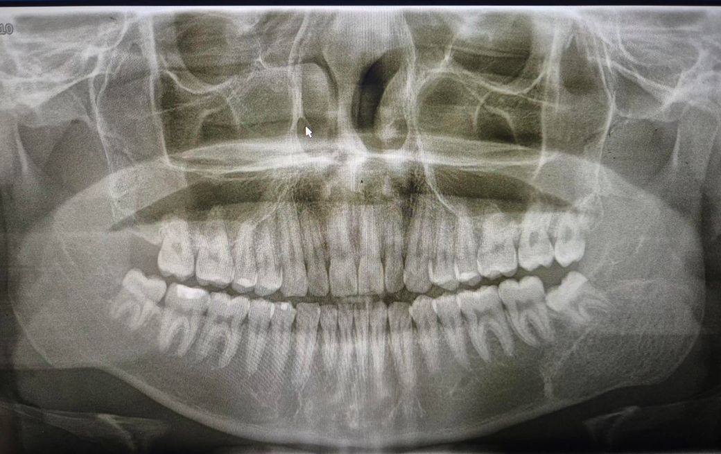
좌측 턱에 뭔가 있어서 질문드립니다.

치과에서 사랑니 빼다가 발견 한건데 저게 뭘까요?

뭔가 딱딱해 보인다고 들었던거 같은데, 콧구멍 쪽에도 있는거 같다는데 골종양 이런건가요?

  • 1번 째 사진
  • 2번 째 사진
  • 3번 째 사진

2개의 답변이 있어요!

  • 김철진 치과의사

    김철진 치과의사

    가까운우리치과

    안녕하세요. 김철진 치과의사입니다.

    엑스레이 상으로 크게 문제가 있어 보이는건 없습니다. 그냥 경화가 된부분이 보이는거 같습니다.

  • 안녕하세요. 최석민 치과의사입니다.

    골육종 등 악성종양의 양상은 아닌 것으로 보입니다. 엑스레이 양상으론 fibrous dysplasia의 가능성이 있어보이나 정확한 진단은 대학병원 영상의학과 가보셔야 합니다.