아하
  • 토픽

  • 스파링

  • 잉크

  • 미션


의료상담

공정한조롱이298

공정한조롱이298

폐렴엑스레이질문입니다 염증문의.

성별

여성

나이대

60

기저질환

고혈압

복용중인 약

고혈압

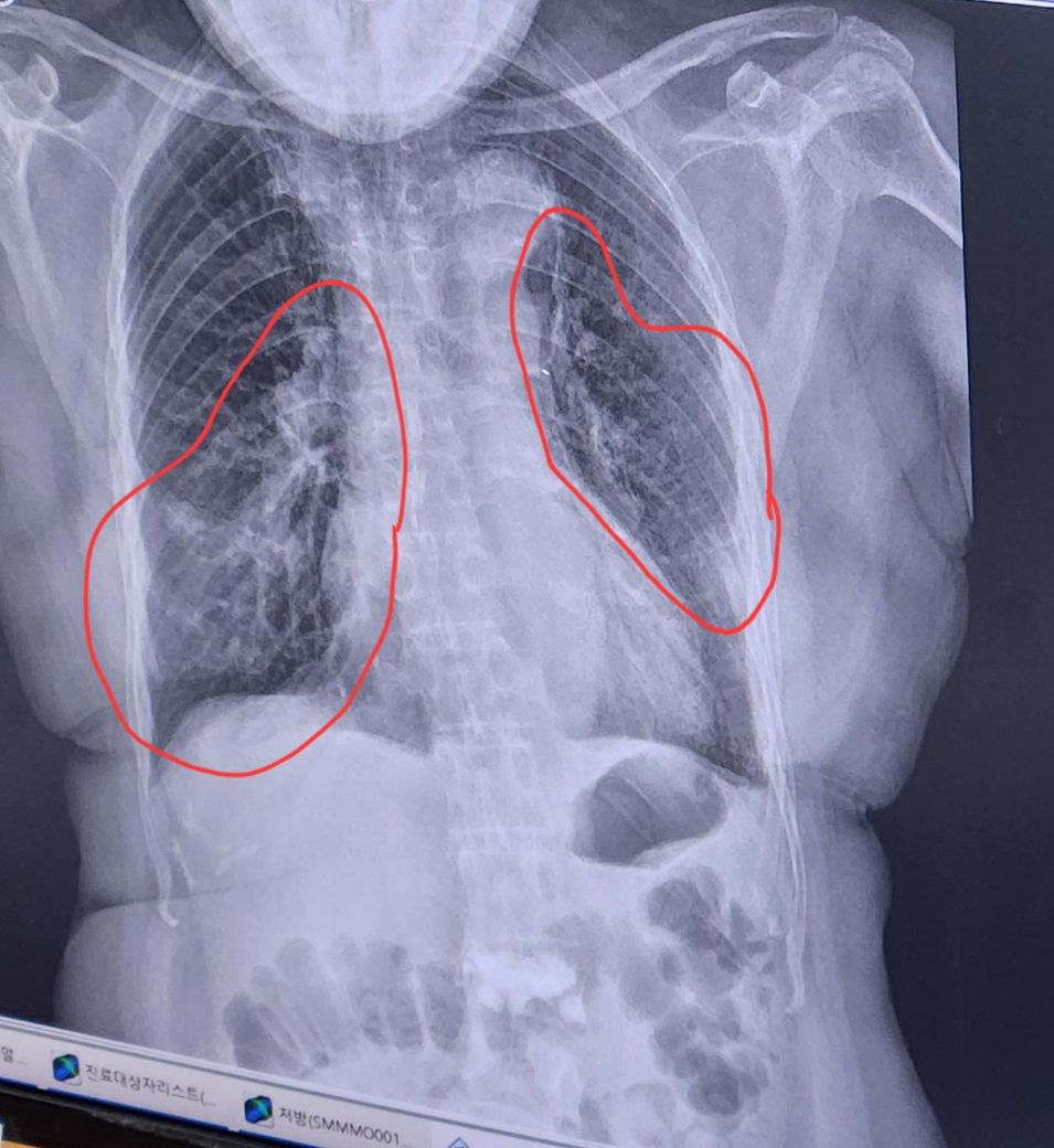
동그라미 친 부분이 다 염증인가요?

심한편인지요?

현재 발열없음/기침가래콧물있음

가래색 연노랑/산소포화도 96입니다.

  • 1번 째 사진

1개의 답변이 있어요!

  • 김수비 의사

    김수비 의사

    QUB

    안녕하세요. 김수비 의사입니다.

    엑스레이 이미지를 살펴보면, 동그라미 친 부분에서 폐의 양쪽 하부에 걸쳐 불투명한 음영이 관찰됩니다. 이 음영은 일반적으로 폐렴에서 나타나는 염증 소견으로 보여요. 특히, 폐렴은 폐의 공기주머니(폐포)에 염증이 생겨 엑스레이에서 이런 흐릿한 패턴을 보이게 합니다. 따라서 동그라미 친 부분이 대부분 염증으로 인한 소견일 가능성이 높습니다. 다만, 정확한 진단은 영상의학과나 호흡기 내과 담당의가 환자의 임상 증상과 다른 검사 결과를 종합하여 판단해야 합니다.

    염증의 정도는 엑스레이상으로 양쪽 폐 하부에 걸쳐 비교적 넓게 퍼져 있는 것으로 보아 경미한 수준은 아닌 것 같습니다. 하지만 현재 발열이 없고 산소포화도가 96%로 안정적이며, 가래 색깔이 연노란색인 점을 고려하면 심각한 중증 폐렴으로 진행되지는 않은 상태로 보입니다.

    기침, 가래, 콧물 등의 증상이 있지만, 산소포화도가 정상 범위에 있고 발열이 없는 점은 긍정적인 신호죠

    다만 고혈압이 기저질환으로 있는 60세 여성 환자이므로, 폐렴이 악화되지 않도록 항생제 치료와 함께 충분한 휴식, 수분 섭취, 그리고 주치의의 지시에 따라 경과를 잘 관찰하는 것이 중요합니다. 추가적인 염증 진행 여부를 확인하기 위해 필요하다면 후속 엑스레이 촬영이나 혈액검사(CRP, 백혈구 수치)를 고려해볼 수 있습니다.

    정확하고 자세한 경과 및 예후는 담당의사와 하시는게 제일 정확하고 안전해요