아하
  • 토픽

  • 스파링

  • 잉크

  • 미션


조용한직박구리210

조용한직박구리210

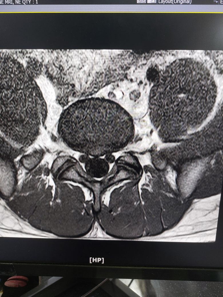
허리디스크 심한편인가요? [Mri 사진 첨부]

성별

남성

나이대

24

기저질환

허리디스크

멸개월전부터 요추가 뻣뻣하고 시큰거리다가 최근에 좀 나아지긴 해도 만성적이라서 오늘 mri 찍고 허리디스크 진단받았습니다

(요추 맨 밑 천추 위 디스크)

Mri 찍은 병원은 고주파 시술같은거 하라고 하고 다른병원은 이정도면 잘 쉬면 완치된다고 하는데

1. 이정도면 아직 팽윤단계인가요?

2. 잘 쉬면 백프로 완치 될까요?

  • 1번 째 사진
  • 2번 째 사진
  • 3번 째 사진
  • 4번 째 사진
  • 5번 째 사진
  • 6번 째 사진

1개의 답변이 있어요!

  • 채홍석 가정의학과 전문의

    채홍석 가정의학과 전문의

    유성선병원

    안녕하세요. 채홍석 의사입니다.

    1. 이정도면 아직 팽윤단계인가요? 디스크 자체도 심하지 않을 뿐더러 그에 따른 증상인지 여부도 확실하지 않습니다

    2. 잘 쉬면 백프로 완치 될까요? 병원마다 치료방향이 갈라진다면 가능한 몸에 무리가 가지 않는 치료를 하는 것이 좋습니다. 먼저 쉬어보세요. 그러고 경과를 지켜보시죠.