아하
  • 토픽

  • 스파링

  • 잉크

  • 미션


의료상담

조용한직박구리210

조용한직박구리210

23.09.07

허리디스크 증상이 어느정도인가요?

성별

남성

나이대

24

기저질환

허리디스크

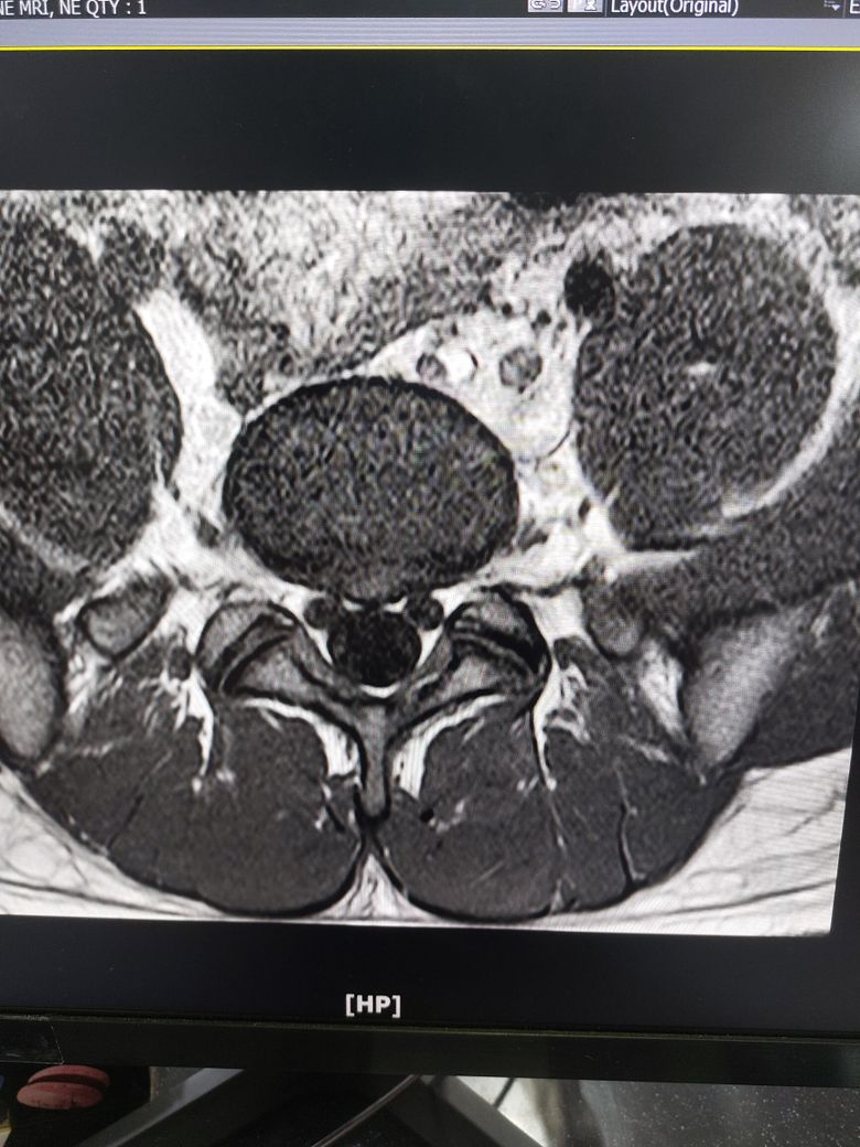
몇개월동안 요추부분이 뻣뻣하고 시큰거려서 (다리 증상은 없음) mri 촬영했는데

디스크 팽윤인가요 아니면 탈출인가요?

증상이 많이 심한가요?

Mri 촬영 전 체외충격파 두번 받고 현재는 뻣뻣함이나 시큰거림이 많이 사라졌습니다

  • 1번 째 사진
  • 2번 째 사진
  • 3번 째 사진
  • 4번 째 사진
  • 5번 째 사진
  • 6번 째 사진

2개의 답변이 있어요!

  • 채홍석 가정의학과 전문의

    채홍석 가정의학과 전문의

    유성선병원

    23.09.07

    안녕하세요. 채홍석 의사입니다.

    추간판 팽윤입니다

    MRI 영상만 가지고 말씀드린다면 심하지 않습니다.

    치료 받으신 정형외과 말씀대로 하시면 될 것 같습니다.

  • 올리신 사진 몇 장 가지고 정확한 상태 평가 및 판단을 내릴 수는 없지만 디스크 탈출 보다는 디스크 팽윤이 의심스런 MRI 소견으로 사료됩니다.