아하
  • 토픽

  • 스파링

  • 잉크

  • 미션


의료상담

스마트한물개123

스마트한물개123

왼손 엄지 근위지골 골절 수술 필요할까요?

성별

남성

나이대

30

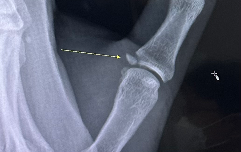
집근처 큰 정형외과 병원에서 mri 랑 cr 찍어봣는데

골절돼 떨어진 골편에 인대는 붙어 있다고 설명들었습니다.


진료보신 선생님이 골편 정복이 필요해보여서 수술필요해 보이고 수술한다면

열어서 제 위치에 가장 얇은 핀으로 고정 해 5-6주간 핀 갖고 있게끔 한다고 합니다.


가만히 있을때 통증은 없습니다.

1. 현재 수술이 필요 할까요?


2. 서울 쪽 대학병원 수부 전문으로 하시는 교수님께 예약을 해놨는데 , 이 진료를 보고 수술 결정해도 괜찮겠죠??


3. 다친진 5일 정도 됐는데 대학병원 진료보명 수술을 약 1주 뒤인 설 이후에 해야 할듯한데 이정도 시간이 지나도 큰 문젠 없겟죠?





  • 1번 째 사진
  • 2번 째 사진

2개의 답변이 있어요!

  • 김경태 의사

    김경태 의사

    에스병원

    안녕하세요. 김경태 의사입니다.

    대학병원 진료까지 시간이 너무 오래걸립니다.

    해당 기간이 지나서 수술을 하면 결과가 좋지않습니다.

  • 안녕하세요. 김선도 의사입니다.

    1. 건열 골절로 의심되며 수술적 치료가 필요하다 생각됩니다.

    2. 수술이 너무 늦어지면 수술이 어려워지게됩니다.