아핫뉴스실시간 인기검색어
아핫뉴스 화산 이미지
화산 아이콘 11
이엘리야 승리
많이 본
아하

의료상담

정형외과

불같은사슴102
불같은사슴102

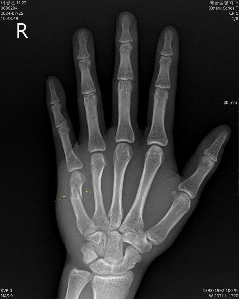
중수골 목의 골절 폐쇄성 수술해야할까요?

성별
남성
나이대
22

정형외과에서 뼈 맞추고 현재 깁스하고있는 상태입니다

근데 의사선생님께서 수술을 하는 편이 예후에 좋을수있다라고 하셔서 질문드립니다.

  1. 상태가 많이 안 좋을까요

  2. 수술이 꼭 필요할까요

  3. 깁스하고 약먹으면서 언제쯤 다시 병원가면될까요

  • 1번 째 사진
  • 2번 째 사진
6개의 답변이 있어요!
  • 안녕하세요. 김강록 물리치료사입니다.

    중수골은 손목과 손가락을 연결하는 부위며 상태의 따라서 정형외과에서 처치한 뼈의 정렬을 맞추고 깁스를 통해

    경과 관찰을 하는경우가있습니다.

    현재 상태로는 수술을 권유 할 수 있는 단계로도 보입니다만 이건 주치의와 영상 판독에 따라 결과가 다를 수 있습니다.

    보통 중수골의 골절 상태를 보고 보존적 치료 (깁스, 고정)을 해서 경과를 지켜보기도 합니다.

    병원 재진은 약 처방 기간이 끝나기 전 이나 통증이 심한 경우, 재진 날짜를 안내 받으셨으면 그때 가셔도 되겠습니다.

    우선 수술과 비수술은 전문의와 상담을 통해 신중히 선택하시길 바랍니다.

    빠른 쾌유와 건강한 삶을 응원합니다^^

  • 안녕하세요. 김덕현 물리치료사입니다.

    골절이라고해서 무조건적으로 수술이필요한건아닌데요 지속적으로 불편감이있다면 수술적치료가필요할수있고 엑스레이상으로볼때에는 수술적치료가 필요해보이기는하나 좀더자세한건 병원에서 전문의와 상담을받아보는것이 좋습ㄴ디ㅏ

    빨리 몸이호전되시기를 바라겠습니다 감사합니다~!

  • 안녕하세요. 송진영 물리치료사입니다.

    중수골 골절이 폐쇄성일 경우 수술 여부는 골절의 위치와 상태에 따라 다릅니다 수술이 필요한 경우는 뼈가 많이 어긋나거나 불안정한 경우로 의사 께서 옣를 고려해 권장하신것일 수 있어요 깁스를 하고 약을 먹으며 정기적인 병원 방문을 통해 회복 상태를 점검하는 것이 중요합니다!

  • 안녕하세요. 김현태 물리치료사입니다.

    골유합이 진행되고 있는 상태인 것으로 봐서는 담당 전문의 선생님의 우선 권장 기간까지 석고 고정 유지하시면서 병원 진료를 통해 골유합이 더디다면 수술적인 치료를 고려해보셔도 좋을 듯 합니다.

    중수골 골절 같은경우 교정이후 석고고정으로도 골유합이 잘되는 뼈이지만 불유합이 생기는 경우에는 수술적인 치료가 예후가 좋습니다.

    담당 전문의 선생님과 충분한 상담 이후에 치료 결정하셔서 적절한 치료 받으시는것을 추천 드립니다.

  • 안녕하세요. 이정재 재활의학과 전문의입니다.

    1. 뼈가 어긋날정도의 골절이라서 2. 수술하시는게 좋아 보입니다. 3. 다음 예약은 해당병원에 문의하셔서 잡는게 좋습니다

  • 안녕하세요. 채홍석 가정의학과 전문의입니다.

    • 많이 안 좋은 것은 아닙니다

    • 수술을 하는편이 아무래도 alignment를 유지하기에 좋습니다.

    • 수술을 고려해보시는 편이 좋습니다.