의료상담
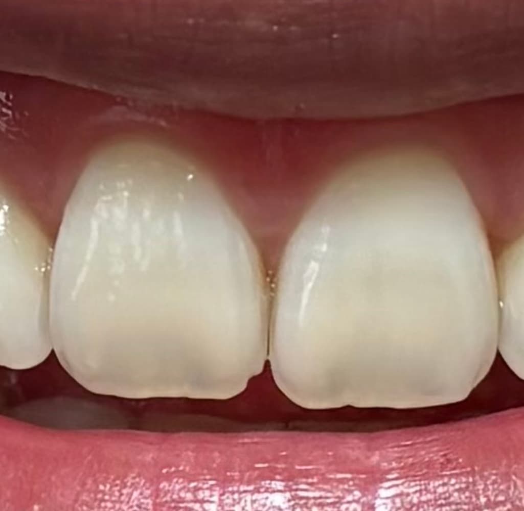
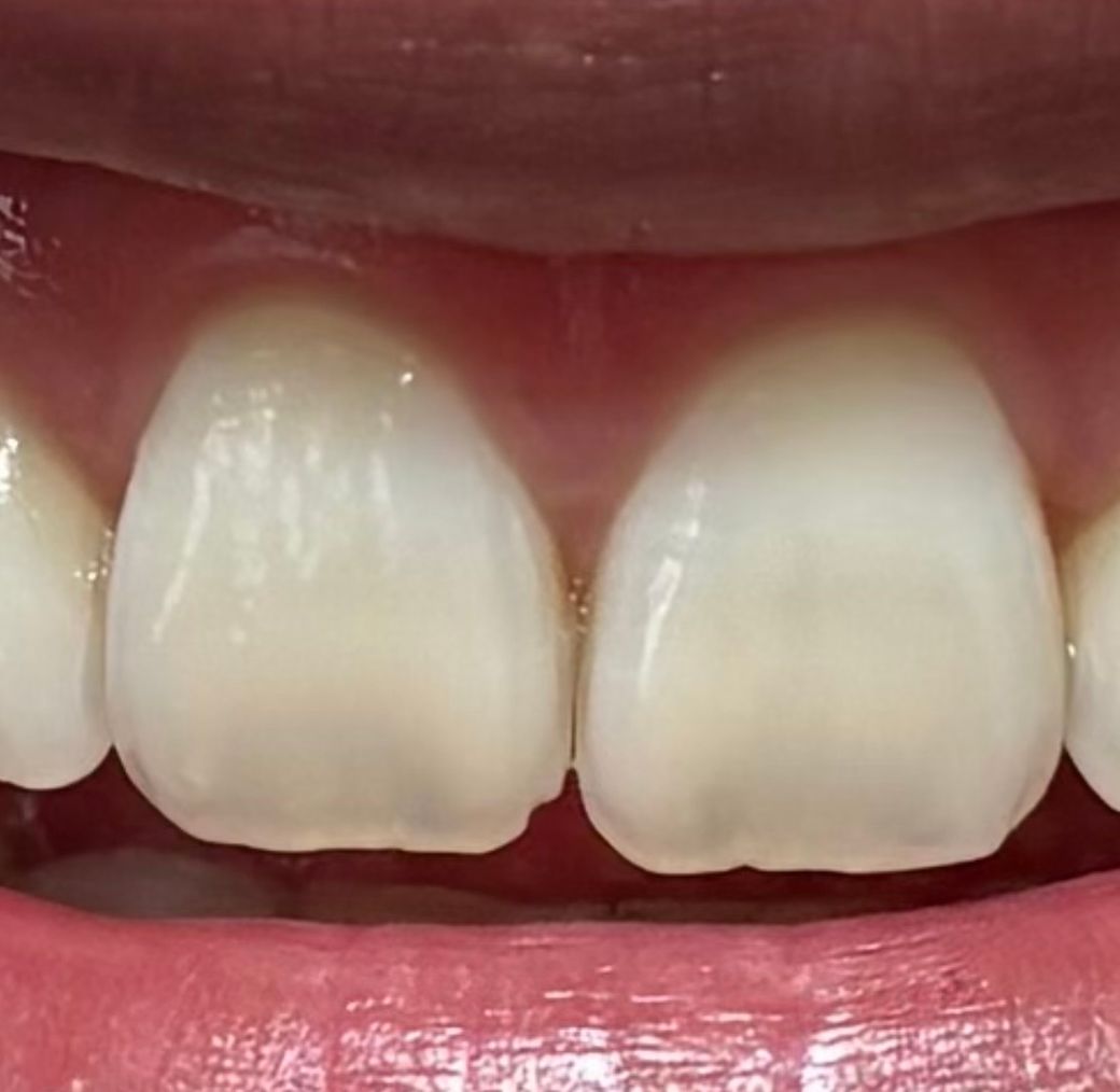
앞니 치아 투명해보이는 이유 뭔가요?
보통 사람들은 앞니 끝부분만 투명하잖아요
저는 중간까지 투명한 부분이 있는데
제 치아 법랑질이 마모되고 있는 건가요?
입안쪽에 핸드폰 플래시를 넣어서 보면 끝부분만 투명한게 아니고 사각형 형태로 크게 투명하게
보여요
선천전으로 제 치아가 저렇게 생긴건가요?
아니면 뭔가 얇아진 건가요? 해결할 방법이 있나요?
55글자 더 채워주세요.
4개의 답변이 있어요!
안녕하세요. 김지훈 치과의사입니다.
선천적인 부분 인 것 같으며 특별히 문제가 될 것은 없습니다. 너무 신경안쓰셔도 괜찮습니다.
안녕하세요. 김철진 치과의사입니다.
끝부분이 마모가 되면서 다른곳보다 투명하게 보이는경우도 잇고, 선천적으로 끝부분이 투명한경우도 있습니다.
안녕하세요. 최석민 치과의사입니다.
사진 잘 찍으려고 플래시를 비추면 당연히 투명층이 두드러지게 보일 겁니다
또 그와는 별개로 치아 자체가 얇은 경우도 있습니다 큰 문제는 아닙니다
안녕하세요. 안상우 치과의사입니다.
암리치아의 끝은 살짝 투명성을 띠고 있습니다. 하지만 마모 등으로 인해서 해당 부위가 얇아진다면 더 투명하게 보일 수 있습니다. 마모가 있다면 마모증을 유발하는 원인을 제거해야 합니다.
자세한 확인을 위해서 치과에서 진료를 받아보는 것을 권유드립니다.

