아핫뉴스실시간 인기검색어
아핫뉴스 화산 이미지
아하

반려동물

반려동물 건강

인일시지분 면백일지우
인일시지분 면백일지우

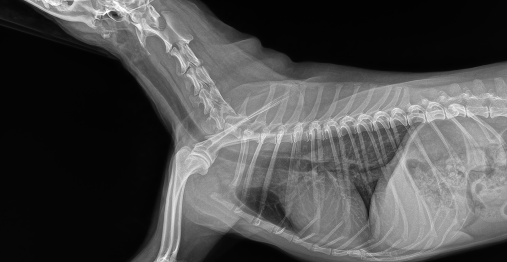
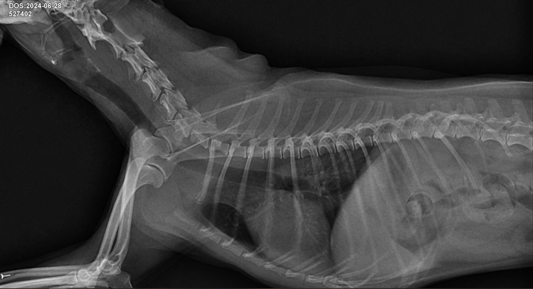
선생님 저희 강아지 허리디스크가 어느정도인가요?

반려동물 종류
강아지

한달에 한번 주기로 깨갱 거리면서 특히나 혼자 붕가붕가하고 나서 그러는데요

허리 디스크가 어느정도 상태인지 그리고 붕가붕가를 평생 못하게해야하는건지.. 알려주시면 감사하겠습니다....


3개의 답변이 있어요!
  • 안녕하세요. 박주찬 수의사입니다.

    허리디스크 진단은 엑스레이 촬영으로는 정확하게 알 수 없습니다.

    신경쪽 질환의 진단은 MRI 촬영으로 하는 것이 가장 정확합니다. 하지만 비용이 굉장히 비싸고 약간의 허리 통증은 운동 제한과 내복약으로도 증상 관리가 잘 되는 경우가 많습니다.

    1명 평가
  • 안녕하세요. 이은수 수의사입니다.

    경추와 흉요추부에 디스크 소인이 있는 양상이 관찰되고 있지만 디스크는 엑스레이 사진으로 평가하는 질환이 아닙니다.

    주치의에게 확인 받으시고 MRI 촬영을 하시기 바랍니다.

  • 탈퇴한 사용자
    탈퇴한 사용자

    안녕하세요. 박근필 수의사입니다.

    척추뼈나 추간판(디스크)에 큰 변화가 있지 않는 이상

    방사선 사진만으로 이상 여부를 판단하기 어렵습니다.

    디스크 질환 여부의 정확한 확인을 위해선 MRI 등 상위 검사가 필요합니다.

    반려동물 필수 지침서, 매뉴얼인 <할퀴고 물려도 나는 수의사니까> 책을 참고해 주세요.

    반려동물을 키울 때 필요한 필수 상식이 담겨 있어 큰 도움이 되실 겁니다.